• Tel: 858.663.9055
  • SeparatorEmail: info@nsjbio.com
  • Tel: 858.663.9055
  • Email: info@nsjbio.com
Home >> Antibodies >> uPAR Antibody / uPA Receptor

uPAR Antibody / uPA Receptor (R30410)

  Catalog No Formulation Size Price (USD)  
Image R30410 0.5mg/ml if reconstituted with 0.2ml sterile DI water 100 ug 439
Bulk quote request
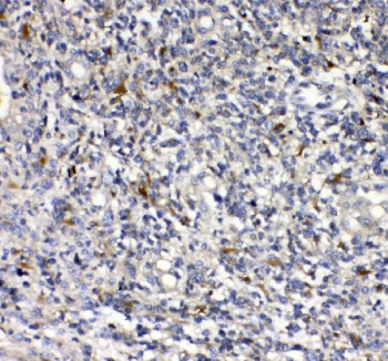
IHC staining of FFPE human glioma tissue with uPAR antibody. HIER: boil tissue sections in pH8 EDTA for 20 min and allow to cool before testing.
Western blot testing of human HeLa cell lysate with uPAR antibody. Predicted molecular weight ~37 kDa but may be observed at higher molecular weights due to glycosylation.
Availability 1-3 business days
Species Reactivity Human
Format Antigen affinity purified
Clonality Polyclonal (rabbit origin)
Isotype Rabbit IgG
Purity Antigen affinity
Buffer Lyophilized from 1X PBS with 2% Trehalose and 0.025% sodium azide
UniProt Q03405
Localization Plasma membrane, secreted
Applications Western Blot : 0.5-1ug/ml
Immunohistochemistry (FFPE) : 2-5ug/ml
Limitations This uPAR antibody is available for research use only.
Review this product on BioCompare and get a $20 Amazon gift card

Related Products

Description

PLAUR (Plasminogen activator receptor, urokinase-type), also known as uPAR or CD87, is multidomain glycoprotein tethered to the cell membrane with a glycosylphosphotidylinositol(GPI) anchor. It consists of three different domains of the Ly-6/uPAR/alpha-neurotoxin family. The protein was originally identified as a saturable binding site for urokinase on the cell surface. The gene plays an important role in many normal as well as pathologic processes. It is localized to 19q13.31. uPAR is a part of the plasminogen activation system, which in the healthy body is involved in tissue reorganization events such as mammary gland involution and wound healing. It binds urokinase and thus restricts plasminogen activation to the immediate vicinity of the cell membrane, indicating it is an important player in the regulation of this process. In human coronary artery vascular smooth muscle cells, UPA stimulates cell migration via a uPAR signaling complex containing TYK2 and phosphatidylinositol 3-kinase.

Application Notes

The stated application concentrations are suggested starting amounts. Titration of the uPAR antibody may be required due to differences in protocols and secondary/substrate sensitivity.

Immunogen

An amino acid sequence from the C-terminus of human uPAR (CNHPDLDVQYRS) was used as the immunogen for this uPAR antibody.

Storage

After reconstitution, the uPAR antibody can be stored for up to one month at 4oC. For long-term, aliquot and store at -20oC. Avoid repeated freezing and thawing.

Cross
Bulk Quote Request Form
Name*:
Organization*:
Email*:
Phone Number*:
Catalog No.*:
Comments and Specifics(amount, formulation, etc.)*:
Validation code: Captchapackage Image


Can't read the image? click here to refresh.
    *required field

Your bulk quote request has been submitted successfully!

Please contact us if you have any questions.