• Tel: 858.663.9055
  • SeparatorEmail: info@nsjbio.com
  • Tel: 858.663.9055
  • Email: info@nsjbio.com
Home >> Antibodies >> UNC5C Antibody

UNC5C Antibody (R34772)

  Catalog No Formulation Size Price (USD)  
Image R34772-100UG 0.5 mg/ml in 1X TBS, pH7.3, with 0.5% BSA (US sourced) and 0.02% sodium azide 100 ug 449
Bulk quote request
IHC/IF testing of FFPE islets in mouse pancreas with UNC5C antibody at 50ug/ml (red) and DAPI nuclear counterstain (blue). HIER: citrate buffer.
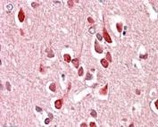
IHC staining of FFPE human cerebral cortex with UNC5C antibody at 4ug/ml. HIER: steamed with pH6 citrate buffer, AP-staining.
Availability 1-3 business days
Species Reactivity Human, Mouse
Predicted Reactivity Dog
Format Antigen affinity purified
Clonality Polyclonal (goat origin)
Isotype Goat Ig
Purity Antigen affinity
Gene ID 8633
Localization Cytoplasmic
Applications Immunohistochemistry (FFPE) : 3-5ug/ml
Immunofluorescence : suitable
ELISA (peptide) LOD : 1:32000
Limitations This UNC5C antibody is available for research use only.
Review this product on BioCompare and get a $20 Amazon gift card

Related Products

  • Applications : WB, FACS
    Reactivity : Human, Mouse, Rat

Description

Additional name(s) for this target protein: Unc-5 homolog C

Application Notes

Optimal dilution of the UNC5C antibody should be determined by the researcher.

Immunogen

Amino acids NCTVSEEPTGID were used as the immunogen for this UNC5C antibody.

Storage

Aliquot and store the UNC5C antibody at -20oC.

Cross
Bulk Quote Request Form
Name*:
Organization*:
Email*:
Phone Number*:
Catalog No.*:
Comments and Specifics(amount, formulation, etc.)*:
Validation code: Captchapackage Image


Can't read the image? click here to refresh.
    *required field

Your bulk quote request has been submitted successfully!

Please contact us if you have any questions.