• Tel: 858.663.9055
  • SeparatorEmail: info@nsjbio.com
  • Tel: 858.663.9055
  • Email: info@nsjbio.com
Home >> Antibodies >> ULBP1 Antibody

ULBP1 Antibody (RQ5778)

  Catalog No Formulation Size Price (USD)  
Image RQ5778 0.5mg/ml if reconstituted with 0.2ml sterile DI water 100 ug 439
Bulk quote request
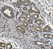
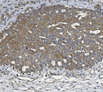
IHC staining of FFPE human breast cancer with ULBP1 antibody. HIER: boil tissue sections in pH8 EDTA for 20 min and allow to cool before testing.
IHC staining of FFPE human breast cancer with ULBP1 antibody. HIER: boil tissue sections in pH8 EDTA for 20 min and allow to cool before testing.
Western blot testing of 1) rat lung, 2) mouse brain, 3) mouse heart, 4) mouse lung and 5) human HepG2 lysate with ULBP1 antibody. Predicted molecular weight ~28 kDa but may be observed at higher molecular weights due to glycosylation.
Flow cytometry testing of human PC-3 cells with ULBP1 antibody at 1ug/million cells (blocked with goat sera); Red=cells alone, Green=isotype control, Blue= ULBP1 antibody.
Availability 1-3 business days
Species Reactivity Human, Mouse, Rat
Format Antigen affinity purified
Clonality Polyclonal (rabbit origin)
Isotype Rabbit IgG
Purity Affinity purified
Buffer Lyophilized from 1X PBS with 2% Trehalose and 0.025% sodium azide
UniProt Q9BZM6
Applications Western Blot : 0.5-1ug/ml
Immunohistochemistry : 1-2ug/ml
Flow Cytometry : 1-3ug/million cells
Direct ELISA : 0.1-0.5ug/ml
Limitations This ULBP1 antibody is available for research use only.
Review this product on BioCompare and get a $20 Amazon gift card

Related Products

Description

UL16 binding protein 1 (ULBP1) is a cell surface glycoprotein encoded by ULBP1 gene located on the chromosome 6. The protein encoded by this gene is a ligand of natural killer group 2, member D (NKG2D), an immune system-activating receptor on NK cells and T-cells. Binding of the encoded ligand to NKG2D leads to activation of several signal transduction pathways, including those of JAK2, STAT5, ERK and PI3K kinase/Akt. Also, in cytomegalovirus-infected cells, this ligand binds the UL16 glycoprotein and is prevented from activating the immune system. Three transcript variants encoding different isoforms have been found for this gene.

Application Notes

Optimal dilution of the ULBP1 antibody should be determined by the researcher.

Immunogen

Recombinant human protein (amino acids W27-K209) was used as the immunogen for the ULBP1 antibody.

Storage

After reconstitution, the ULBP1 antibody can be stored for up to one month at 4oC. For long-term, aliquot and store at -20oC. Avoid repeated freezing and thawing.

Cross
Bulk Quote Request Form
Name*:
Organization*:
Email*:
Phone Number*:
Catalog No.*:
Comments and Specifics(amount, formulation, etc.)*:
Validation code: Captchapackage Image


Can't read the image? click here to refresh.
    *required field

Your bulk quote request has been submitted successfully!

Please contact us if you have any questions.