• Tel: 858.663.9055
  • SeparatorEmail: info@nsjbio.com
  • Tel: 858.663.9055
  • Email: info@nsjbio.com
Home >> Antibodies >> UCHL3 Antibody

UCHL3 Antibody (F47954)

  Catalog No Formulation Size Price (USD)  
Image F47954-0.4ML In 1X PBS, pH 7.4, with 0.09% sodium azide 0.4 ml 429
Image
F47954-0.08ML In 1X PBS, pH 7.4, with 0.09% sodium azide 0.08 ml 199
Bulk quote request
Western blot analysis of lysate from 1) 293, 2) SW620, and 3) U-87 MG cell line using UCHL3 antibody at 1:1000. Predicted molecular weight ~26 kDa.
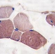
IHC analysis of FFPE human skeletal muscle tissue stained with UCHL3 antibody
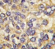
IHC analysis of FFPE human breast carcinoma tissue stained with UCHL3 antibody
Availability 1-3 business days
Species Reactivity Human
Predicted Reactivity Mouse, Rat, Bovine, Pig
Format Purified
Clonality Polyclonal (rabbit origin)
Isotype Rabbit Ig
Purity Purified
UniProt P15374
Applications Western Blot : 1:1000
IHC (Paraffin) : 1:10-1:50
Limitations This UCHL3 antibody is available for research use only.
Review this product on BioCompare and get a $20 Amazon gift card

Related Products

Description

Covalent attachment of the C-terminus of ubiquitin to cellular proteins plays a role in a variety of cellular processes. Ubiquitin C-terminal hydrolysis is catalyzed by deubiquitinating (DUB) enzymes and is necessary for several functions, including liberation of monomeric ubiquitin from the precursors encoded by ubiquitin genes and recycling of ubiquitin monomers. There are 2 distinct families of DUBs, ubiquitin-specific proteases (UBPs) and ubiquitin C-terminal hydrolases (UCHs). Mayer and Wilkinson (1989) identified 4 distinct UCH activities from bovine thymus. All 4 were thiol proteases and had high-affinity binding sites for ubiquitin. Wilkinson et al. (1989) purified the predominant isozyme, UCHL3, and raised antibodies against it. By screening a human B-cell expression library with the antibodies, the authors isolated cDNAs encoding human UCHL3. Sequence comparisons revealed that the sequence of the predicted 230-amino acid human UCHL3 protein is 54% identical to that of UCHL1.

Application Notes

Titration of the UCHL3 antibody may be required due to differences in protocols and secondary/substrate sensitivity.

Immunogen

A portion of amino acids 195-225 from the human protein was used as the immunogen for this UCHL3 antibody.

Storage

Aliquot the UCHL3 antibody and store frozen at -20oC or colder. Avoid repeated freeze-thaw cycles.

Cross
Bulk Quote Request Form
Name*:
Organization*:
Email*:
Phone Number*:
Catalog No.*:
Comments and Specifics(amount, formulation, etc.)*:
Validation code: Captchapackage Image


Can't read the image? click here to refresh.
    *required field

Your bulk quote request has been submitted successfully!

Please contact us if you have any questions.