• Tel: 858.663.9055
  • SeparatorEmail: info@nsjbio.com
  • Tel: 858.663.9055
  • Email: info@nsjbio.com
Home >> Antibodies >> UBR2 Antibody

UBR2 Antibody (R36493)

  Catalog No Formulation Size Price (USD)  
Image R36493-100UG 0.5 mg/ml in 1X TBS, pH7.3, with 0.5% BSA (US sourced) and 0.02% sodium azide 100 ug 449
Bulk quote request
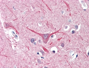
IHC testing of FFPE human brain (cortex) tissue with UBR2 antibody at 5ug/ml. HIER: steamed antigen retrieval with pH6 citrate buffer; AP-staining.
Availability 1-3 business days
Species Reactivity Human
Predicted Reactivity Mouse, Dog, Cow
Format Antigen affinity purified
Clonality Polyclonal (goat origin)
Isotype Goat Ig
Purity Antigen affinity
UniProt Q8IWV8
Localization Nuclear, cytoplasmic
Applications IHC (FFPE) : 5-10ug/ml
ELISA (peptide) LOD : 1:32000
Limitations This UBR2 antibody is available for research use only.
Review this product on BioCompare and get a $20 Amazon gift card

Related Products

Description

Alternate name(s) for this target: Ubiquitin protein ligase E3 component n-recognin 2; C6orf133; ubiquitin ligase E3 alpha-II

Application Notes

Optimal dilution of the UBR2 antibody should be determined by the researcher.

Immunogen

Amino acids SCPKSGGDKSRAPT were used as the immunogen for this UBR2 antibody.

Storage

Aliquot and store the UBR2 antibody at -20oC.

Cross
Bulk Quote Request Form
Name*:
Organization*:
Email*:
Phone Number*:
Catalog No.*:
Comments and Specifics(amount, formulation, etc.)*:
Validation code: Captchapackage Image


Can't read the image? click here to refresh.
    *required field

Your bulk quote request has been submitted successfully!

Please contact us if you have any questions.