• Tel: 858.663.9055
  • SeparatorEmail: info@nsjbio.com
  • Tel: 858.663.9055
  • Email: info@nsjbio.com
Home >> Antibodies >> UBR2 Antibody / E3 ubiquitin-protein ligase UBR2

UBR2 Antibody / E3 ubiquitin-protein ligase UBR2 [clone PCRP-UBR2-1D12] (V8778)

  Catalog No Formulation Size Price (USD)  
Image V8778-100UG 0.2 mg/ml in 1X PBS with 0.1 mg/ml BSA (US sourced), 0.05% sodium azide 100 ug 539
Image
V8778-20UG 0.2 mg/ml in 1X PBS with 0.1 mg/ml BSA (US sourced) and 0.05% sodium azide 20 ug 249
Image
V8778SAF-100UG 1 mg/ml in 1X PBS; BSA free, sodium azide free 100 ug 539
Microvalidated
Bulk quote request
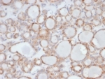
IHC staining of FFPE human thyroid tissue with UBR2 antibody (clone PCRP-UBR2-1D12) at 2ug/ml. HIER: boil tissue sections in pH 9 10mM Tris with 1mM EDTA for 20 min and allow to cool before testing.
FACS staining of PFA-fixed human HeLa cells with UBR2 antibody (blue, clone PCRP-UBR2-1D12) and isotype control (red).
SDS-PAGE analysis of purified, BSA-free UBR2 antibody (PCRP-UBR2-1D12) as confirmation of integrity and purity.
Immunofluorescent staining of PFA-fixed human HeLa cells using UBR2 antibody (green, clone PCRP-UBR2-1D12) and phalloidin (red).
Analysis of HuProt(TM) microarray containing more than 19,000 full-length human proteins using UBR2 antibody (clone PCRP-UBR2-1D12). These results demonstrate the foremost specificity of the PCRP-UBR2-1D12 mAb. Z- and S- score: The Z-score represents the strength of a signal that an antibody (in combination with a fluorescently-tagged anti-IgG secondary Ab) produces when binding to a particular protein on the HuProt(TM) array. Z-scores are described in units of standard deviations (SD's) above the mean value of all signals generated on that array. If the targets on the HuProt(TM) are arranged in descending order of the Z-score, the S-score is the difference (also in units of SD's) between the Z-scores. The S-score therefore represents the relative target specificity of an Ab to its intended target.
Availability 1-3 business days
Species Reactivity Human
Format Purified
Clonality Monoclonal (mouse origin)
Isotype Mouse IgG2a
Clone Name PCRP-UBR2-1D12
Purity Protein A/G affinity
UniProt Q8IWV8
Localization Nucleus, cytoplasm
Applications Immunoprecipitation : 1-2ug per 100-500ug of total protein (1ml of cell lysate)
Flow Cytometry : 1-2ug/million cells
Immunofluorescence : 1-2ug/ml
Western Blot : 1-2ug/ml
Immunohistochemistry (FFPE) : 1-2ug/ml
Limitations This UBR2 antibody is available for research use only.
Review this product on BioCompare and get a $20 Amazon gift card

Related Products

  • Applications : WB
    Reactivity : Human
  • Applications : IHC-P, ELISA (peptide)
    Reactivity : Human
    Pred. Reactivity : Mouse, Dog, Cow

Description

E3 ubiquitin-protein ligase which is a component of the N-end rule pathway. (UniProt)

Application Notes

Optimal dilution of the UBR2 antibody should be determined by the researcher.

Immunogen

Recombinant full-length human UBR2 protein was used as the immunogen for the UBR2 antibody.

Storage

Aliquot the UBR2 antibody and store frozen at -20oC or colder. Avoid repeated freeze-thaw cycles.

Cross
Bulk Quote Request Form
Name*:
Organization*:
Email*:
Phone Number*:
Catalog No.*:
Comments and Specifics(amount, formulation, etc.)*:
Validation code: Captchapackage Image


Can't read the image? click here to refresh.
    *required field

Your bulk quote request has been submitted successfully!

Please contact us if you have any questions.