• Tel: 858.663.9055
  • SeparatorEmail: info@nsjbio.com
  • Tel: 858.663.9055
  • Email: info@nsjbio.com
Home >> Antibodies >> UBE2L3 Antibody

UBE2L3 Antibody (R33772)

  Catalog No Formulation Size Price (USD)  
Image R33772-100UG 0.5 mg/ml in 1X TBS, pH7.3, with 0.5% BSA (US sourced) and 0.02% sodium azide 100 ug 449
Bulk quote request
Western blot of human (A), mouse (B), rat (C) and pig (D) heart lysate with UBE2L3 antibody at 0.01ug/ml. Predicted molecular weight: ~18 kDa.
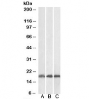
Western blot of human (A), mouse (B) and rat (C) skeletal muscle lysates with UBE2L3 antibody at 0.03ug/ml. Predicted molecular weight: ~18 kDa.
Western blot of HEK293 (A), HepG2 (B) and Jurkat (C) lysates with UBE2L3 antibody at 0.01ug/ml. Predicted molecular weight: ~18 kDa.
Western blot testing of HeLa lysate with UBE2L3 antibody at 0.5ug/ml. Predicted molecular weight: ~18 kDa.
IF/ICC testing of human A) MCF7 and B) HeLa cells with UBE2L3 antibody at 5ug/ml + DAPI nuclear counterstain.
Availability 1-3 business days
Species Reactivity Human, Mouse, Rat
Predicted Reactivity Cow
Format Antigen affinity purified
Clonality Polyclonal (goat origin)
Isotype Goat Ig
Purity Antigen affinity
Gene ID 7332
Localization Nuclear, cytoplasmic
Applications Western Blot : 0.1-1ug/ml
IF/ICC : 5ug/ml
ELISA (peptide) LOD : 1:128000
Limitations This UBE2L3 antibody is available for research use only.
Review this product on BioCompare and get a $20 Amazon gift card

Related Products

Description

Additional name(s) for this target protein: Ubiquitin-conjugating enzyme E2L 3

Application Notes

Optimal dilution of the UBE2L3 antibody should be determined by the researcher.

Immunogen

Amino acids EFTKKYGEKRPVD were used as the immunogen for this UBE2L3 antibody.

Storage

Aliquot and store the UBE2L3 antibody at -20oC.

Cross
Bulk Quote Request Form
Name*:
Organization*:
Email*:
Phone Number*:
Catalog No.*:
Comments and Specifics(amount, formulation, etc.)*:
Validation code: Captchapackage Image


Can't read the image? click here to refresh.
    *required field

Your bulk quote request has been submitted successfully!

Please contact us if you have any questions.