• Tel: 858.663.9055
  • SeparatorEmail: info@nsjbio.com
  • Tel: 858.663.9055
  • Email: info@nsjbio.com
Home >> Antibodies >> UBE1C Antibody / UBA3

UBE1C Antibody / UBA3 (R32284)

  Catalog No Formulation Size Price (USD)  
Image R32284 0.5mg/ml if reconstituted with 0.2ml sterile DI water 100 ug 439
Bulk quote request
Immunofluorescent staining of FFPE human A431 cells with UBE1C antibody (green) and DAPI nuclear stain (blue). HIER: steam section in pH6 citrate buffer for 20 min.
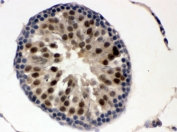
IHC testing of FFPE mouse testis with UBE1C antibody. HIER: Boil the paraffin sections in pH 6, 10mM citrate buffer for 20 minutes and allow to cool prior to staining.
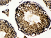
IHC testing of FFPE rat testis with UBE1C antibody. HIER: Boil the paraffin sections in pH 6, 10mM citrate buffer for 20 minutes and allow to cool prior to staining.
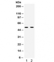
Western blot testing of 1) rat brain and 2) human HeLa lysate with UBE1C antibody. Expected molecular weight ~52 kDa.
Flow cytometry testing of human A549 cells with UBE1C antibody at 1ug/million cells (blocked with goat sera); Red=cells alone, Green=isotype control, Blue= UBE1C antibody.
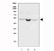
Western blot testing of 1) human HeLa 2) human HEK293 and 3) rat brain tissue lysate with UBE1C antibody. Expected molecular weight ~52 kDa.
Availability 1-3 business days
Species Reactivity Human, Mouse, Rat
Format Antigen affinity purified
Clonality Polyclonal (rabbit origin)
Isotype Rabbit IgG
Purity Antigen affinity
Buffer Lyophilized from 1X PBS with 2.5% BSA and 0.025% sodium azide
UniProt Q8TBC4
Localization Nuclear, cytoplasmic
Applications Western Blot : 0.1-0.5ug/ml
Immunohistochemistry (FFPE) : 0.5-1ug/ml
Immunofluorescence (FFPE) : 2-4ug/ml
Flow Cytometry : 1-3ug/million cells
Limitations This UBE1C antibody is available for research use only.
Review this product on BioCompare and get a $20 Amazon gift card

Related Products

Description

NEDD8-activating enzyme E1 catalytic subunit is a protein that in humans is encoded by the UBA3 gene. The modification of proteins with ubiquitin is an important cellular mechanism for targeting abnormal or short-lived proteins for degradation. Ubiquitination involves at least three classes of enzymes: ubiquitin-activating enzymes, or E1s, ubiquitin-conjugating enzymes, or E2s, and ubiquitin-protein ligases, or E3s. This gene encodes a member of the E1 ubiquitin-activating enzyme family. The encoded enzyme associates with AppBp1, an amyloid beta precursor protein binding protein, to form a heterodimer, and then the enzyme complex activates NEDD8, an ubiquitin-like protein, which regulates cell division, signaling and embryogenesis. Multiple alternatively spliced transcript variants encoding distinct isoforms have been found for this gene.

Application Notes

Optimal dilution of the UBE1C antibody should be determined by the researcher.

Immunogen

Amino acids KNRTLYLQSVTSIEERTRPNLSKTLKELGLVDGQELAVAD of human UBE1C/UBA3 were used as the immunogen for the UBE1C antibody.

Storage

After reconstitution, the UBE1C antibody can be stored for up to one month at 4oC. For long-term, aliquot and store at -20oC. Avoid repeated freezing and thawing.

Cross
Bulk Quote Request Form
Name*:
Organization*:
Email*:
Phone Number*:
Catalog No.*:
Comments and Specifics(amount, formulation, etc.)*:
Validation code: Captchapackage Image


Can't read the image? click here to refresh.
    *required field

Your bulk quote request has been submitted successfully!

Please contact us if you have any questions.