• Tel: 858.663.9055
  • SeparatorEmail: info@nsjbio.com
  • Tel: 858.663.9055
  • Email: info@nsjbio.com
Home >> Antibodies >> TXNRD1 Antibody

TXNRD1 Antibody (R36197)

  Catalog No Formulation Size Price (USD)  
Image R36197-100UG 0.5 mg/ml in 1X TBS, pH7.3, with 0.5% BSA (US sourced) and 0.02% sodium azide 100 ug 449
Bulk quote request
Western blot testing of human placenta lysate with TXNRD1 antibody at 0.1ug/ml. Predicted molecular weight: ~57 kDa.
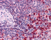
IHC testing of FFPE human spleen tissue with TXNRD1 antibody at 2.5ug/ml. Required HIER: steamed antigen retrieval with pH6 citrate buffer; AP-staining.
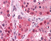
IHC testing of FFPE human testis tissue with TXNRD1 antibody at 2.5ug/ml. Required HIER: steamed antigen retrieval with pH6 citrate buffer; AP-staining.
Availability 1-3 business days
Species Reactivity Human
Predicted Reactivity Pig
Format Antigen affinity purified
Clonality Polyclonal (goat origin)
Isotype Goat Ig
Purity Antigen affinity
Gene ID 7296
Localization Nuclear, cytoplasmic
Applications Western Blot : 0.1-1ug/ml
IHC (FFPE) : 2.5ug/ml
ELISA (peptide) LOD : 1:32000
Limitations This TXNRD1 antibody is available for research use only.
Review this product on BioCompare and get a $20 Amazon gift card

Related Products

Description

Additional name(s) for this target protein: Thioredoxin Reductase 1

Application Notes

Optimal dilution of the TXNRD1 antibody should be determined by the researcher.

Immunogen

Amino acids TKRSGASILQAGC were used as the immunogen for this TXNRD1 antibody.

Storage

Aliquot and store the TXNRD1 antibody at -20oC.

Cross
Bulk Quote Request Form
Name*:
Organization*:
Email*:
Phone Number*:
Catalog No.*:
Comments and Specifics(amount, formulation, etc.)*:
Validation code: Captchapackage Image


Can't read the image? click here to refresh.
    *required field

Your bulk quote request has been submitted successfully!

Please contact us if you have any questions.