• Tel: 858.663.9055
  • SeparatorEmail: info@nsjbio.com
  • Tel: 858.663.9055
  • Email: info@nsjbio.com
Home >> Antibodies >> TXNDC5 Antibody

TXNDC5 Antibody (R35961)

  Catalog No Formulation Size Price (USD)  
Image R35961-100UG 0.5 mg/ml in 1X TBS, pH7.3, with 0.5% BSA (US sourced) and 0.02% sodium azide 100 ug 449
Bulk quote request
Western blot testing of human placenta lysate with TXNDC5 antibody at 0.1ug/ml. Predicted molecular weight: ~48/36 kDa (isoforms 1/2).
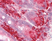
IHC testing of FFPE human small intestine tissue with TXNDC5 antibody at 3.75ug/ml. Required HIER: steamed antigen retrieval with pH6 citrate buffer; AP-staining.
Availability 1-3 business days
Species Reactivity Human
Format Antigen affinity purified
Clonality Polyclonal (goat origin)
Isotype Goat Ig
Purity Antigen affinity
Gene ID 81567
Localization Cytoplasmic (Endoplasmic reticulum)
Applications Western Blot : 0.1-1ug/ml
IHC (FFPE) : 3.75ug/ml
ELISA (peptide) LOD : 1:64000
Limitations This TXNDC5 antibody is available for research use only.
Review this product on BioCompare and get a $20 Amazon gift card

Related Products

  • Applications : WB, ELISA (peptide)
    Reactivity : Human, Mouse
    Pred. Reactivity : Cow
  • Applications : WB, ELISA (peptide)
    Reactivity : Human, Mouse
    Pred. Reactivity : Cow
  • Applications : WB, IHC-P, FACS, Direct ELISA
    Reactivity : Human, Mouse, Rat

Description

Additional name(s) for this target protein: Thioredoxin domain containing 5, EndoPDI

Application Notes

Optimal dilution of the TXNDC5 antibody should be determined by the researcher.

Immunogen

Amino acids SLHRFVLSQAKDEL were used as the immunogen for this TXNDC5 antibody. This sequence is common to human isoforms 1 and 2.

Storage

Aliquot and store the TXNDC5 antibody at -20oC.

Cross
Bulk Quote Request Form
Name*:
Organization*:
Email*:
Phone Number*:
Catalog No.*:
Comments and Specifics(amount, formulation, etc.)*:
Validation code: Captchapackage Image


Can't read the image? click here to refresh.
    *required field

Your bulk quote request has been submitted successfully!

Please contact us if you have any questions.