• Tel: 858.663.9055
  • SeparatorEmail: info@nsjbio.com
  • Tel: 858.663.9055
  • Email: info@nsjbio.com
Home >> Antibodies >> TXNDC5 Antibody

TXNDC5 Antibody (R35557)

  Catalog No Formulation Size Price (USD)  
Image R35557-100UG 0.5 mg/ml in 1X TBS, pH7.3, with 0.5% BSA (US sourced) and 0.02% sodium azide 100 ug 449
Bulk quote request
Western blot testing of human lymph node lysate with TXNDC5 antibody at 0.05ug/ml. Isoforms of ~48kDa and ~36kDa may be detected.
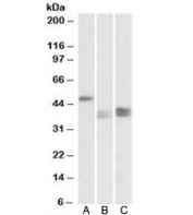
Western blot testing of mouse lymph node (A), stomach (B) and intestine (C) lysates with TXNDC5 antibody at 0.1ug/ml. Predicted molecular weight (mouse): ~46kDa.
Availability 1-3 business days
Species Reactivity Human, Mouse
Predicted Reactivity Cow
Format Antigen affinity purified
Clonality Polyclonal (goat origin)
Isotype Goat Ig
Purity Antigen affinity
UniProt Q8NBS9
Gene ID 81567
Applications Western Blot : 0.05-0.2ug/ml
ELISA (peptide) LOD : 1:64000
Limitations This TXNDC5 antibody is available for research use only.
Review this product on BioCompare and get a $20 Amazon gift card

Related Products

  • Applications : WB, ELISA (peptide)
    Reactivity : Human, Mouse
    Pred. Reactivity : Cow
  • Applications : WB, IHC-P, ELISA (peptide)
    Reactivity : Human
  • Applications : WB, IHC-P, FACS, Direct ELISA
    Reactivity : Human, Mouse, Rat

Description

Additional name(s) for this target protein: Thioredoxin domain containing 5

Application Notes

Optimal dilution of the TXNDC5 antibody should be determined by the researcher.

Immunogen

Amino acids RDGKKVDQYKGKRD were used as the immunogen for this TXNDC5 antibody. This sequence is common to human isoforms 1 and 2.

Storage

Aliquot and store the TXNDC5 antibody at -20oC.

Cross
Bulk Quote Request Form
Name*:
Organization*:
Email*:
Phone Number*:
Catalog No.*:
Comments and Specifics(amount, formulation, etc.)*:
Validation code: Captchapackage Image


Can't read the image? click here to refresh.
    *required field

Your bulk quote request has been submitted successfully!

Please contact us if you have any questions.