• Tel: 858.663.9055
  • SeparatorEmail: info@nsjbio.com
  • Tel: 858.663.9055
  • Email: info@nsjbio.com
Home >> Antibodies >> Tumor suppressor ARF Antibody / CDKN2A / MLM

Tumor suppressor ARF Antibody / CDKN2A / MLM (F54658)

  Catalog No Formulation Size Price (USD)  
Image F54658-0.4ML In 1X PBS, pH 7.4, with 0.09% sodium azide 0.4 ml 429
Image
F54658-0.08ML In 1X PBS, pH 7.4, with 0.09% sodium azide 0.08 ml 199
Bulk quote request
Western blot testing of human HeLa cell lysate with Tumor suppressor ARF antibody. Predicted molecular weight ~14 kDa.
Western blot testing of human HEK293 cell lysate with Tumor suppressor ARF antibody. Predicted molecular weight ~14 kDa.
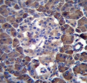
IHC testing of FFPE human pancreas tissue with Tumor suppressor ARF antibody. HIER: steam section in pH6 citrate buffer for 20 min and allow to cool prior to staining.
Flow cytometry testing of human HEK293 cells with Tumor suppressor ARF antibody; Left=isotype control, Right= Tumor suppressor ARF antibody.
Availability 1-3 business days
Species Reactivity Human
Format Purified
Clonality Polyclonal (rabbit origin)
Isotype Rabbit Ig
Purity Antigen affinity purified
UniProt Q8N726
Localization Cytoplasmic, nuclear
Applications Flow Cytometry : 1:25 (1x10e6 cells)
Immunohistochemistry (FFPE) : 1:25
Western Blot : 1:500-1:2000
Limitations This Tumor suppressor ARF antibody is available for research use only.
Review this product on BioCompare and get a $20 Amazon gift card

Description

This gene generates several transcript variants which differ in their first exons. At least three alternatively spliced variants encoding distinct proteins have been reported, two of which encode structurally related isoforms known to function as inhibitors of CDK4 kinase. The remaining transcript includes an alternate first exon located 20 Kb upstream of the remainder of the gene; this transcript contains an alternate open reading frame (ARF) that specifies a protein which is structurally unrelated to the products of the other variants. This ARF product functions as a stabilizer of the tumor suppressor protein p53 as it can interact with, and sequester, MDM1, a protein responsible for the degradation of p53. In spite of the structural and functional differences, the CDK inhibitor isoforms and the ARF product encoded by this gene, through the regulatory roles of CDK4 and p53 in cell cycle G1 progression, share a common functionality in cell cycle G1 control. This gene is frequently mutated or deleted in a wide variety of tumors, and is known to be an important tumor suppressor gene.

Application Notes

The stated application concentrations are suggested starting points. Titration of the Tumor suppressor ARF antibody may be required due to differences in protocols and secondary/substrate sensitivity.

Immunogen

A portion of amino acids 72-101 from the human protein was used as the immunogen for the Tumor suppressor ARF antibody.

Storage

Aliquot the Tumor suppressor ARF antibody and store frozen at -20oC or colder. Avoid repeated freeze-thaw cycles.

Cross
Bulk Quote Request Form
Name*:
Organization*:
Email*:
Phone Number*:
Catalog No.*:
Comments and Specifics(amount, formulation, etc.)*:
Validation code: Captchapackage Image


Can't read the image? click here to refresh.
    *required field

Your bulk quote request has been submitted successfully!

Please contact us if you have any questions.