• Tel: 858.663.9055
  • SeparatorEmail: info@nsjbio.com
  • Tel: 858.663.9055
  • Email: info@nsjbio.com
Home >> Antibodies >> TTR Antibody / Transthyretin / Prealbumin

TTR Antibody / Transthyretin / Prealbumin (R31871)

  Catalog No Formulation Size Price (USD)  
Image R31871 0.5mg/ml if reconstituted with 0.2ml sterile DI water 100 ug 439
Bulk quote request
Immunofluorescent staining of FFPE mouse pancreas tissue with TTR antibody (red) and DAPI nuclear stain (blue). HIER: steam section in pH6 citrate buffer for 20 min.
Immunofluorescent staining of FFPE rat kidney tissue with TTR antibody (red) and DAPI nuclear stain (blue). HIER: steam section in pH6 citrate buffer for 20 min.
IHC testing of FFPE mouse pancreas with TTR antibody. HIER: Boil the paraffin sections in pH8 EDTA buffer for 20 minutes and allow to cool prior to staining.
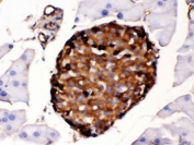
IHC testing of FFPE rat kidney with TTR antibody. HIER: Boil the paraffin sections in pH8 EDTA buffer for 20 minutes and allow to cool prior to staining.
Western blot testing of 1) rat liver, 2) rat kidney, 3) mouse liver and 4) mouse kidney tissue lysate with TTR antibody. Expected molecular weight ~16 kDa.
Availability 1-3 business days
Species Reactivity Mouse, Rat
Format Antigen affinity purified
Clonality Polyclonal (rabbit origin)
Isotype Rabbit IgG
Purity Antigen affinity
Buffer Lyophilized from 1X PBS with 2.5% BSA and 0.025% sodium azide
UniProt P02767
Localization Cytoplasmic, membrane
Applications Western Blot : 0.1-0.5ug/ml
Immunohistochemistry (FFPE) : 0.5-1ug/ml
Immunofluorescence : 5ug/ml
Limitations This TTR antibody is available for research use only.
Review this product on BioCompare and get a $20 Amazon gift card

Related Products

Description

Transthyretin (TTR) is also known as prealbumin. It is mapped to chromosome region 18q11.2-q12.1. This gene encodes a carrier protein responsible for the transport of thyroid hormones and retinol. The protein consists of a tetramer of identical subunits. Due to increased stability of the tetramer form of this encoded protein in mouse, compared to the human protein, this gene product has a reduced tendency to form amyloid fibrils. In humans, this protein binds beta-amyloid preventing its aggregation and providing a neuroprotective role in Alzheimer's disease.

Application Notes

Optimal dilution of the TTR antibody should be determined by the researcher.

Immunogen

Amino acids 21-147 of rat Transthyretin were used as the immunogen for the TTR antibody.

Storage

After reconstitution, the TTR antibody can be stored for up to one month at 4oC. For long-term, aliquot and store at -20oC. Avoid repeated freezing and thawing.

Cross
Bulk Quote Request Form
Name*:
Organization*:
Email*:
Phone Number*:
Catalog No.*:
Comments and Specifics(amount, formulation, etc.)*:
Validation code: Captchapackage Image


Can't read the image? click here to refresh.
    *required field

Your bulk quote request has been submitted successfully!

Please contact us if you have any questions.