• Tel: 858.663.9055
  • SeparatorEmail: info@nsjbio.com
  • Tel: 858.663.9055
  • Email: info@nsjbio.com
Home >> Antibodies >> TTPA Antibody / Alpha-tocopherol transfer protein

TTPA Antibody / Alpha-tocopherol transfer protein (RQ7046)

  Catalog No Formulation Size Price (USD)  
Image RQ7046 0.5mg/ml if reconstituted with 0.2ml sterile DI water 100 ug 439
Bulk quote request
Flow cytometry testing of human MCF7 cells with TTPA antibody at 1ug/million cells (blocked with goat sera); Red=cells alone, Green=isotype control, Blue= TPPA antibody.
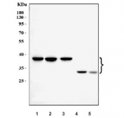
Western blot testing of 1) human HCCT, 2) human MCF-7, 3) human HepG2, 4) rat liver and 5) mouse liver tissue lysate with TTPA antibody. Predicted molecular weight ~32 kDa, commonly observed at 29-37 kDa.
Availability 1-3 business days
Species Reactivity Human, Mouse, Rat
Format Antigen affinity purified
Clonality Polyclonal (rabbit origin)
Isotype Rabbit IgG
Purity Antigen affinity purified
Buffer Lyophilized from 1X PBS with 2% Trehalose
UniProt P49638
Applications Western Blot : 0.5-1 ug/ml
Flow Cytometry : 1-3ug/million cells
Direct ELISA : 0.1-0.5ug/ml
Limitations This TTPA antibody is available for research use only.
Review this product on BioCompare and get a $20 Amazon gift card

Description

Alpha-tocopherol transfer protein is a protein that in humans is encoded by the TTPA gene. This gene encodes a soluble protein that binds alpha-trocopherol, a form of vitamin E, with high selectivity and affinity. This protein plays an important role in regulating vitamin E levels in the body by transporting vitamin E between membrane vesicles and facilitating the secretion of vitamin E from hepatocytes to circulating lipoproteins. Mutations in this gene cause hereditary vitamin E deficiency (ataxia with vitamin E deficiency, AVED) and retinitis pigmentosa.

Application Notes

Optimal dilution of the TTPA antibody should be determined by the researcher.

Immunogen

Recombinant human protein (amino acids Q13-Q278) was used as the immunogen for the TTPA antibody.

Storage

After reconstitution, the TTPA antibody can be stored for up to one month at 4oC. For long-term, aliquot and store at -20oC. Avoid repeated freezing and thawing.

Cross
Bulk Quote Request Form
Name*:
Organization*:
Email*:
Phone Number*:
Catalog No.*:
Comments and Specifics(amount, formulation, etc.)*:
Validation code: Captchapackage Image


Can't read the image? click here to refresh.
    *required field

Your bulk quote request has been submitted successfully!

Please contact us if you have any questions.