• Tel: 858.663.9055
  • SeparatorEmail: info@nsjbio.com
  • Tel: 858.663.9055
  • Email: info@nsjbio.com
Home >> Antibodies >> TTLL12 Antibody / Tubulin Tyrosine Ligase Like 12

TTLL12 Antibody / Tubulin Tyrosine Ligase Like 12 (RQ7797)

  Catalog No Formulation Size Price (USD)  
Image RQ7797 0.5mg/ml if reconstituted with 0.2ml sterile DI water 100 ug 439
Bulk quote request
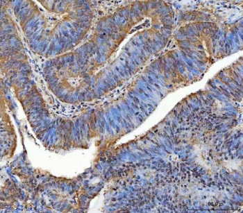
IHC staining of FFPE human colorectal adenocarcinoma tissue with TTLL12 antibody. HIER: boil tissue sections in pH8 EDTA for 20 min and allow to cool before testing.
IHC staining of FFPE human thyroid cancer tissue with TTLL12 antibody. HIER: boil tissue sections in pH8 EDTA for 20 min and allow to cool before testing.
Western blot testing of human 1) K562 and 2) 293T cell lysate with TTLL12 antibody. Predicted molecular weight ~74 kDa.
Flow cytometry testing of human HEL cells with TTLL12 antibody at 1ug/million cells (blocked with goat sera); Red=cells alone, Green=isotype control, Blue= TTLL12 antibody.
Flow cytometry testing of human Caco-2 cells with TTLL12 antibody at 1ug/million cells (blocked with goat sera); Red=cells alone, Green=isotype control, Blue= TTLL12 antibody.
Availability 1-3 business days
Species Reactivity Human
Format Antigen affinity purified
Clonality Polyclonal (rabbit origin)
Isotype Rabbit IgG
Purity Antigen affinity purified
Buffer Lyophilized from 1X PBS with 2% Trehalose
UniProt Q14166
Localization Cytoplasmic, nuclear
Applications Western Blot : 0.5-1ug/ml
Flow Cytometry : 1-3ug/million cells
Immunohistochemistry (FFPE) : 2-5ug/ml
Direct ELISA : 0.1-0.5ug/ml
Limitations This TTLL12 antibody is available for research use only.
Review this product on BioCompare and get a $20 Amazon gift card

Description

Enables H4K20me3 modified histone binding activity and tubulin binding activity. Involved in negative regulation of type I interferon-mediated signaling pathway and regulation of mitotic cell cycle. Located in cytoplasm.

Application Notes

Optimal dilution of the TTLL12 antibody should be determined by the researcher.

Immunogen

E. coli-derived recombinant human protein (amino acids E8-Q634) was used as the immunogen for the TTLL12 antibody.

Storage

After reconstitution, the TTLL12 antibody can be stored for up to one month at 4oC. For long-term, aliquot and store at -20oC. Avoid repeated freezing and thawing.

Cross
Bulk Quote Request Form
Name*:
Organization*:
Email*:
Phone Number*:
Catalog No.*:
Comments and Specifics(amount, formulation, etc.)*:
Validation code: Captchapackage Image


Can't read the image? click here to refresh.
    *required field

Your bulk quote request has been submitted successfully!

Please contact us if you have any questions.