• Tel: 858.663.9055
  • SeparatorEmail: info@nsjbio.com
  • Tel: 858.663.9055
  • Email: info@nsjbio.com
Home >> Antibodies >> TSPO Antibody

TSPO Antibody (R35565)

  Catalog No Formulation Size Price (USD)  
Image R35565-100UG 0.5 mg/ml in 1X TBS, pH7.3, with 0.5% BSA (US sourced) and 0.02% sodium azide 100 ug 449
Bulk quote request
Western blot testing of human breast cancer lysate with TSPO antibody at 0.1ug/ml. Predicted molecular weight: ~19 kDa.
IHC staining of FFPE human colon with TSPO antibody at 2.5ug/ml. HIER: steamed with pH6 citrate buffer, AP-staining.
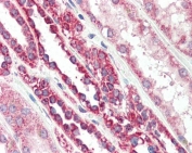
IHC staining of FFPE human kidney with TSPO antibody at 5ug/ml. HIER: steamed with pH6 citrate buffer, AP-staining.
Availability 1-3 business days
Species Reactivity Human
Format Antigen affinity purified
Clonality Polyclonal (goat origin)
Isotype Goat Ig
Purity Antigen affinity
Gene ID 706
Localization Cytoplasmic
Applications Western Blot : 0.1-0.3ug/ml
Immunohistochemistry (FFPE) : 2-5ug/ml
ELISA (peptide) LOD : 1:128000
Limitations This TSPO antibody is available for research use only.
Review this product on BioCompare and get a $20 Amazon gift card

Related Products

Description

Additional name(s) for this target protein: Translocator protein (18kDa), PBR, peripheral benzodiazepine receptor

Application Notes

Optimal dilution of the TSPO antibody should be determined by the researcher.

Immunogen

Amino acids RDNHGWRGGRRLPE were used as the immunogen for this TSPO antibody. This sequence is specific to isoform 1.

Storage

Aliquot and store the TSPO antibody at -20oC.

Cross
Bulk Quote Request Form
Name*:
Organization*:
Email*:
Phone Number*:
Catalog No.*:
Comments and Specifics(amount, formulation, etc.)*:
Validation code: Captchapackage Image


Can't read the image? click here to refresh.
    *required field

Your bulk quote request has been submitted successfully!

Please contact us if you have any questions.