• Tel: 858.663.9055
  • SeparatorEmail: info@nsjbio.com
  • Tel: 858.663.9055
  • Email: info@nsjbio.com
Home >> Antibodies >> TSPAN12 Antibody

TSPAN12 Antibody (RQ4142)

  Catalog No Formulation Size Price (USD)  
Image RQ4142 0.5mg/ml if reconstituted with 0.2ml sterile DI water 100 ug 439
Bulk quote request
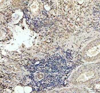
IHC staining of FFPE human lung cancer tissue with TSPAN12 antibody, HRP-labeled secondary and DAB substrate. HIER: boil tissue sections in pH8 EDTA for 20 min and allow to cool before testing.
IHC staining of FFPE rat lung tissue with TSPAN12 antibody, HRP-labeled secondary and DAB substrate. HIER: boil tissue sections in pH8 EDTA for 20 min and allow to cool before testing.
IHC testing of FFPE human lung cancer tissue with TSPAN12 antibody. Required HIER: steam section in pH6 citrate buffer for 20 min and allow to cool prior to testing.
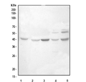
Western blot testing of 1) human HepG2, 2) rat kidney, 3) rat NRK, 4) mouse kidney and 5) mouse NIH 3T3 cell lysate with TSPAN12 antibody. Predicted molecular weight ~35 kDa but may be observed at a higher molecular weights due to glycosylation.
Availability 1-3 business days
Species Reactivity Human, Mouse, Rat
Format Antigen affinity purified
Clonality Polyclonal (rabbit origin)
Isotype Rabbit IgG
Purity Antigen affinity purified
Buffer Lyophilized from 1X PBS with 2% Trehalose
UniProt O95859
Localization Cytoplasm, cell membrane
Applications Western Blot : 0.5-1ug/ml
Immunohistochemistry (FFPE) : 2-5ug/ml
Direct ELISA : 0.1-0.5ug/ml
Limitations This TSPAN12 antibody is available for research use only.
Review this product on BioCompare and get a $20 Amazon gift card

Description

TSPAN12, or tetraspanin 12, is a member of the tetraspanin family of transmembrane proteins that are involved in a wide array of cellular processes, including signal transduction, cell adhesion, and proliferation. TSPAN12 is best known for its role in regulating the Norrin/beta-catenin signaling pathway, which is essential for retinal vascular development and maintenance of the blood-retinal barrier.

TSPAN12 is expressed in various tissues, with prominent roles in vascular endothelial cells and neural tissues. Genetic mutations in TSPAN12 are linked to familial exudative vitreoretinopathy, a hereditary disorder characterized by incomplete development of retinal vasculature. Several isoforms of TSPAN12 have been identified, arising from alternative splicing events. These isoforms may differ in their subcellular localization and regulatory functions, adding complexity to its role in health and disease.

The TSPAN12 antibody is a powerful tool for detecting endogenous protein levels in both normal and pathological tissues. A validated TSPAN12 antibody can be employed in immunohistochemistry, western blotting, and immunofluorescence to monitor expression changes or investigate its role in angiogenesis and retinal disorders. When used in experimental studies, the TSPAN12 antibody provides critical insights into the regulation of vascular signaling and tissue integrity.

NSJ Bioreagents offers high-quality TSPAN12 antibody products designed for robust performance across multiple assay types, enabling researchers to confidently explore the function of this important protein in biological and disease-related contexts.

Application Notes

Optimal dilution of the TSPAN12 antibody should be determined by the researcher.

Immunogen

A recombinant human partial protein corresponding to amino acids G111-R224 was used as the immunogen for the TSPAN12 antibody.

Storage

After reconstitution, the TSPAN12 antibody can be stored for up to one month at 4oC. For long-term, aliquot and store at -20oC. Avoid repeated freezing and thawing.

Cross
Bulk Quote Request Form
Name*:
Organization*:
Email*:
Phone Number*:
Catalog No.*:
Comments and Specifics(amount, formulation, etc.)*:
Validation code: Captchapackage Image


Can't read the image? click here to refresh.
    *required field

Your bulk quote request has been submitted successfully!

Please contact us if you have any questions.