• Tel: 858.663.9055
  • SeparatorEmail: info@nsjbio.com
  • Tel: 858.663.9055
  • Email: info@nsjbio.com
Home >> Antibodies >> TSHB Antibody / TSH beta

TSHB Antibody / TSH beta [clone TSHb/1317] (V8143)

  Catalog No Formulation Size Price (USD)  
Image V8143-100UG 0.2 mg/ml in 1X PBS with 0.1 mg/ml BSA (US sourced) and 0.05% sodium azide 100 ug 539
Image
V8143-20UG 0.2 mg/ml in 1X PBS with 0.1 mg/ml BSA (US sourced) and 0.05% sodium azide 20 ug 249
Image
V8143SAF-100UG 1 mg/ml in 1X PBS; BSA free, sodium azide free 100 ug 539
Bulk quote request
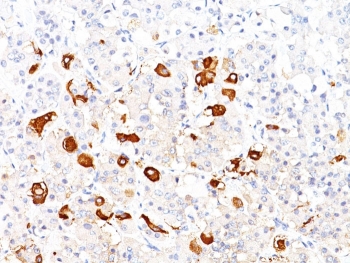
IHC staining of FFPE human pituitary with TSHB antibody (clone TSHb/1317). HIER: boil tissue sections in pH 9 10mM Tris with 1mM EDTA for 20 min and allow to cool before testing.
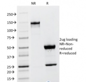
SDS-PAGE analysis of purified, BSA-free TSHB antibody (clone TSHb/1317) as confirmation of integrity and purity.
Availability 1-3 business days
Species Reactivity Human
Format Purified
Clonality Monoclonal (mouse origin)
Isotype Mouse IgG1, kappa
Clone Name TSHb/1317
Purity Protein G affinity chromatography
UniProt P01222
Localization Cytoplasmic
Applications Immunohistochemistry (FFPE) : 1-2ug/ml
Limitations This TSHB antibody is available for research use only.
Review this product on BioCompare and get a $20 Amazon gift card

Related Products

Description

The four human glycoprotein hormones chorionic gonadotropin (CG), luteinizing hormone (LH) follicle stimulating hormone (FSH), and thyroid stimulating hormone (TSH) are dimers consisting of alpha and beta subunits that are associated non-covalently. The alpha subunits of these hormones are identical, however, their beta chains are unique and confer biological specificity. TSH is synthesized and secreted by thyrotrope cells in the anterior pituitary gland which regulates the endocrine function of the thyroid gland. TSH stimulates the thyroid gland to secrete the hormones thyroxine (T4) and triiodothyronine (T3). TSH production is controlled by a Thyrotropin-Releasing Hormone (TRH), which is manufactured in the hypothalamus and transported to the pituitary gland, where it increases TSH production and release. Somatostatin is also produced by the hypothalamus and has an opposite effect on the pituitary production of TSH, decreasing or inhibiting its release. TSH is a useful marker in classification of pituitary tumors and the study of pituitary disease.

Application Notes

Optimal dilution of the TSHB antibody should be determined by the researcher.

Immunogen

A recombinant human partial protein was used as the immunogen for this TSHB antibody.

Storage

Store the TSHB antibody at 2-8oC (with azide) or aliquot and store at -20oC or colder (without azide).

Cross
Bulk Quote Request Form
Name*:
Organization*:
Email*:
Phone Number*:
Catalog No.*:
Comments and Specifics(amount, formulation, etc.)*:
Validation code: Captchapackage Image


Can't read the image? click here to refresh.
    *required field

Your bulk quote request has been submitted successfully!

Please contact us if you have any questions.