• Tel: 858.663.9055
  • SeparatorEmail: info@nsjbio.com
  • Tel: 858.663.9055
  • Email: info@nsjbio.com
Home >> Antibodies >> TSC22D1 Antibody / TSC22 domain family protein 1

TSC22D1 Antibody / TSC22 domain family protein 1 (RQ8176)

  Catalog No Formulation Size Price (USD)  
Image RQ8176 0.5mg/ml if reconstituted with 0.2ml sterile DI water 100 ug 439
Bulk quote request
Flow cytometry testing of fixed and permeabilized human SH-SY5Y cells with TSC22D1 antibody at 1ug/million cells (blocked with goat sera); Red=cells alone, Green=isotype control, Blue= TSC22D1 antibody.
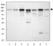
Western blot testing of 1) human A549, 2) human 293T, 3) human MCF7, 4) rat brain, 5) rat C6, 6) mouse brain and 7) mouse NIH 3T3 cell lysate with TSC22D1 antibody. Predicted molecular weight ~110 kDa.
Availability 1-3 business days
Species Reactivity Human, Mouse, Rat
Format Antigen affinity purified
Clonality Polyclonal (rabbit origin)
Isotype Rabbit IgG
Purity Antigen affinity purified
Buffer Lyophilized from 1X PBS with 2% Trehalose
UniProt Q15714
Applications Western Blot : 0.5-1ug/ml
Flow Cytometry : 1-3ug/million cells
Direct ELISA : 0.1-0.5ug/ml
Limitations This TSC22D1 antibody is available for research use only.
Review this product on BioCompare and get a $20 Amazon gift card

Related Products

Description

TSC22 domain family protein 1 is a protein that in humans is encoded by the TSC22D1 gene. This gene encodes a member of the TSC22 domain family of leucine zipper transcription factors. The encoded protein is stimulated by transforming growth factor beta, and regulates the transcription of multiple genes including C-type natriuretic peptide. The encoded protein may play a critical role in tumor suppression through the induction of cancer cell apoptosis, and a single nucleotide polymorphism in the promoter of this gene has been associated with diabetic nephropathy. Alternatively spliced transcript variants encoding multiple isoforms have been observed for this gene.

Application Notes

Optimal dilution of the TSC22D1 antibody should be determined by the researcher.

Immunogen

E. coli-derived recombinant human protein (amino acids N179-Q926) was used as the immunogen for the TSC22D1 antibody.

Storage

After reconstitution, the TSC22D1 antibody can be stored for up to one month at 4oC. For long-term, aliquot and store at -20oC. Avoid repeated freezing and thawing.

Cross
Bulk Quote Request Form
Name*:
Organization*:
Email*:
Phone Number*:
Catalog No.*:
Comments and Specifics(amount, formulation, etc.)*:
Validation code: Captchapackage Image


Can't read the image? click here to refresh.
    *required field

Your bulk quote request has been submitted successfully!

Please contact us if you have any questions.