• Tel: 858.663.9055
  • SeparatorEmail: info@nsjbio.com
  • Tel: 858.663.9055
  • Email: info@nsjbio.com
Home >> Antibodies >> TSC2 Antibody

TSC2 Antibody (R31543)

  Catalog No Formulation Size Price (USD)  
Image R31543 0.5mg/ml if reconstituted with 0.2ml sterile DI water 100 ug 439
Bulk quote request
Western blot testing of TSC2 antibody and human samples 1: U20S; 2: PANC; 3: HEPG2; 4: A549; 5: COLO320. Expected/observed size 200~220KD
Western blot testing of TSC2 antibody and recombinant human protein (0.5ng)
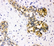
IHC-P: TSC2 antibody testing of human breast cancer tissue
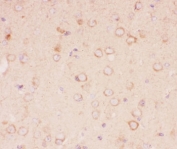
IHC-P: TSC2 antibody testing of mouse brain tissue
IHC-P: TSC2 antibody testing of rat brain tissue
Availability 1-3 business days
Species Reactivity Human, Mouse, Rat
Format Antigen affinity purified
Clonality Polyclonal (rabbit origin)
Isotype Rabbit IgG
Purity Antigen affinity
Buffer Lyophilized from 1X PBS with 2.5% BSA and 0.025% sodium azide
Gene ID 7249
Applications Western Blot : 0.5-1ug/ml
IHC (FFPE) : 0.5-1ug/ml
Limitations This TSC2 antibody is available for research use only.
Review this product on BioCompare and get a $20 Amazon gift card

Related Products

Description

Tuberous sclerosis 2, also known as TSC2 or Tuberin is a protein that is in humans. Mutations in this gene lead to tuberous sclerosis complex. TSC2 is believed to be a tumor suppressor and is able to stimulate specific GTPases. It associates with hamartin in a cytosolic complex, possibly acting as a chaperone forHamartin. TSC2 is involved in microtubule-mediated protein transport, but this seems to be due to unregulated mTOR signaling. It stimulates weakly the intrinsic GTPase activity of the Ras-related proteins RAP1A andRAB5in vitro.

Application Notes

Titration of the TSC2 antibody may be required due to differences in protocols and secondary/substrate sensitivity.

Immunogen

Human partial recombinant protein (AA 1611-1807) was used as the immunogen for this TSC2 antibody.

Storage

The lyophilized TSC2 antibody can be stored at 4oC to -20oC. After reconstitution, aliquot and store at -20oC. Avoid repeated freeze/thaws.

Cross
Bulk Quote Request Form
Name*:
Organization*:
Email*:
Phone Number*:
Catalog No.*:
Comments and Specifics(amount, formulation, etc.)*:
Validation code: Captchapackage Image


Can't read the image? click here to refresh.
    *required field

Your bulk quote request has been submitted successfully!

Please contact us if you have any questions.