• Tel: 858.663.9055
  • SeparatorEmail: info@nsjbio.com
  • Tel: 858.663.9055
  • Email: info@nsjbio.com
Home >> Antibodies >> TRX Antibody / Thioredoxin / TXN

TRX Antibody / Thioredoxin / TXN (RQ4619)

  Catalog No Formulation Size Price (USD)  
Image RQ4619 0.5mg/ml if reconstituted with 0.2ml sterile DI water 100 ug 439
Bulk quote request
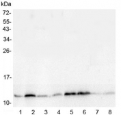
Western blot testing of mouse 1) testis, 2) kidney, 3) small intestine, 4) spleen, 5) stomach, 6) lung, 7) smooth muscle and 8) heart lysate with TXN antibody at 0.5ug/ml. Predicted molecular weight ~12 kDa.
Western blot testing of rat 1) testis, 2) kidney, 3) small intestine, 4) spleen, 5) stomach, 6) lung, 7) smooth muscle and 8) heart lysate with TXN antibody at 0.5ug/ml. Predicted molecular weight ~12 kDa.
IHC staining of FFPE mouse small intestine with TRX antibody at 1ug/ml. HIER: boil tissue sections in pH6, 10mM citrate buffer, for 10-20 min followed by cooling at RT for 20 min.
ICC staining of FFPE mouse LLC cells with TRX antibody at 1ug/ml. HIER: boil tissue sections in pH6, 10mM citrate buffer, for 10-20 min followed by cooling at RT for 20 min.
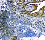
IHC staining of FFPE rat spleen with TRX antibody at 1ug/ml. HIER: boil tissue sections in pH6, 10mM citrate buffer, for 10-20 min followed by cooling at RT for 20 min.
Immunofluorescent staining of mouse NIH3T3 cells with TRX antibody (green, top left) and DAPI nuclear stain (blue, top right), and overlay (bottom).
Availability 1-3 business days
Species Reactivity Mouse, Rat
Format Antigen affinity purified
Clonality Polyclonal (rabbit origin)
Isotype Rabbit IgG
Purity Antigen affinity purified
Buffer Lyophilized from 1X PBS with 2% Trehalose and 0.025% sodium azide
UniProt P10639
Localization Nuclear, cytoplasmic
Applications Western Blot : 0.5-1ug/ml
Immunohistochemistry (FFPE) : 1-2ug/ml
Immunocytochemistry (FFPE) : 1-2ug/ml
Direct ELISA : 0.1-0.5ug/ml (mouse recombinant protein)
Immunofluorescence : 2-4ug/ml
Limitations This TRX antibody is available for research use only.
Review this product on BioCompare and get a $20 Amazon gift card

Related Products

Description

Thioredoxin is a class of small redox proteins known to be present in all organisms. It is mapped to 9q31.3. The protein encoded by this gene acts as a homodimer and is involved in many redox reactions. The encoded protein is active in the reversible S-nitrosylation of cysteines in certain proteins, which is part of the response to intracellular nitric oxide. This protein is found in the cytoplasm. Two transcript variants encoding different isoforms have been found for this gene.

Application Notes

Optimal dilution of the TRX antibody should be determined by the researcher.

Immunogen

Amino acids V2-A105 from the mouse protein were used as the immunogen for the TRX antibody.

Storage

After reconstitution, the TRX antibody can be stored for up to one month at 4oC. For long-term, aliquot and store at -20oC. Avoid repeated freezing and thawing.

Cross
Bulk Quote Request Form
Name*:
Organization*:
Email*:
Phone Number*:
Catalog No.*:
Comments and Specifics(amount, formulation, etc.)*:
Validation code: Captchapackage Image


Can't read the image? click here to refresh.
    *required field

Your bulk quote request has been submitted successfully!

Please contact us if you have any questions.