• Tel: 858.663.9055
  • SeparatorEmail: info@nsjbio.com
  • Tel: 858.663.9055
  • Email: info@nsjbio.com
Home >> Antibodies >> TRPV3 Antibody

TRPV3 Antibody (RQ7109)

  Catalog No Formulation Size Price (USD)  
Image RQ7109 0.5mg/ml if reconstituted with 0.2ml sterile DI water 100 ug 439
Bulk quote request
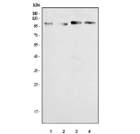
Western blot testing of human 1) MDA-MB-453, 2) PC-3, 3) Caco-2 and 4) HeLa cell lysate with TRPV3 antibody. Predicted molecular weight ~90 kDa.
Availability 1-3 business days
Species Reactivity Human
Format Antigen affinity purified
Clonality Polyclonal (rabbit origin)
Isotype Rabbit IgG
Purity Antigen affinity purified
Buffer Lyophilized from 1X PBS with 2% Trehalose
UniProt Q8NET8
Applications Western Blot : 0.5-1ug/ml
Limitations This TRPV3 antibody is available for research use only.
Review this product on BioCompare and get a $20 Amazon gift card

Related Products

  • Applications : WB
    Reactivity : Human
  • Applications : WB, IHC, ELISA
    Reactivity : Human
  • Applications : WB, IHC, ELISA
    Reactivity : Human, Mouse
  • Applications : WB, IHC-P, FACS, Direct ELISA
    Reactivity : Human

Description

Transient receptor potential cation channel, subfamily V, member 3, also known as TRPV3, is a human gene encoding the protein of the same name. This gene product belongs to a family of nonselective cation channels that function in a variety of processes, including temperature sensation and vasoregulation. The thermosensitive members of this family are expressed in subsets of sensory neurons that terminate in the skin, and are activated at distinct physiological temperatures. This channel is activated at temperatures between 22 and 40 degrees C. This gene lies in close proximity to another family member gene on chromosome 17, and the two encoded proteins are thought to associate with each other to form heteromeric channels. Multiple transcript variants encoding different isoforms have been found for this gene.

Application Notes

Optimal dilution of the TRPV3 antibody should be determined by the researcher.

Immunogen

Amino acids VRRTDFNKIQDSSRNNSKTTLNAFEEVEEFPETSV were used as the immunogen for the TRPV3 antibody.

Storage

After reconstitution, the TRPV3 antibody can be stored for up to one month at 4oC. For long-term, aliquot and store at -20oC. Avoid repeated freezing and thawing.

Cross
Bulk Quote Request Form
Name*:
Organization*:
Email*:
Phone Number*:
Catalog No.*:
Comments and Specifics(amount, formulation, etc.)*:
Validation code: Captchapackage Image


Can't read the image? click here to refresh.
    *required field

Your bulk quote request has been submitted successfully!

Please contact us if you have any questions.