• Tel: 858.663.9055
  • SeparatorEmail: info@nsjbio.com
  • Tel: 858.663.9055
  • Email: info@nsjbio.com
Home >> Antibodies >> TRPV3 Antibody

TRPV3 Antibody (R31084)

  Catalog No Formulation Size Price (USD)  
Image R31084 0.5mg/ml if reconstituted with 0.2ml sterile DI water 100 ug 439
Bulk quote request
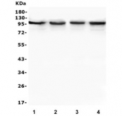
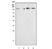
Western blot testing of TRPV3 antibody and Lane 1: HeLa; 2: A549; 3: MCF-7 cell lysate. Predicted/observed size ~90KD
Availability 1-3 business days
Species Reactivity Human
Format Antigen affinity purified
Clonality Polyclonal (rabbit origin)
Isotype Rabbit IgG
Purity Antigen affinity
Buffer Lyophilized from 1X PBS with 2.5% BSA and 0.025% sodium azide/thimerosal
UniProt Q8NET8
Applications Western Blot : 0.5-1ug/ml
Limitations This TRPV3 antibody is available for research use only.
Review this product on BioCompare and get a $20 Amazon gift card

Related Products

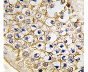
  • Applications : WB, IHC, ELISA
    Reactivity : Human
  • Applications : WB, IHC, ELISA
    Reactivity : Human, Mouse
  • Applications : WB, IHC-P, FACS, Direct ELISA
    Reactivity : Human
  • Applications : WB
    Reactivity : Human

Description

Transient Receptor Potential Cation Channel Subfamily V Member 3, also known as VRL3, is encoded by the TRPV3 gene. The protein belongs to a family of nonselective cation channels that function in a variety of processes, including temperature sensation and vasoregulation. Peier et al.(2002) localized the gene to a BAC clone mapped to chromosome 17p13. They mapped the mouse gene to chromosome 11B4. Peier et al.(2002) stably expressed mouse Trpv3 in Chinese hamster ovary cells and assayed electrophysiologic activity by whole cell voltage-clamp techniques. They determined that it is a cation-permeable channel activated by warm and hot temperatures. Xu et al.(2002) showed that increasing temperature from approximately 22 to 40 degrees Celsius in mammalian cells transfected with human TRPV3 elevated intracellular calcium by activating a nonselective cationic conductance.

Application Notes

The stated application concentrations are suggested starting amounts. Titration of the TRPV3 antibody may be required due to differences in protocols and secondary/substrate sensitivity.

Immunogen

Amino acids (757-773 RRTDFNKIQDSSRNNSK-human) were used as the immunogen for this TRPV3 antibody.

Storage

After reconstitution, the TRPV3 antibody can be stored for up to one month at 4oC. For long-term, aliquot and store at -20oC. Avoid repeated freezing and thawing.

Cross
Bulk Quote Request Form
Name*:
Organization*:
Email*:
Phone Number*:
Catalog No.*:
Comments and Specifics(amount, formulation, etc.)*:
Validation code: Captchapackage Image


Can't read the image? click here to refresh.
    *required field

Your bulk quote request has been submitted successfully!

Please contact us if you have any questions.