• Tel: 858.663.9055
  • SeparatorEmail: info@nsjbio.com
  • Tel: 858.663.9055
  • Email: info@nsjbio.com
Home >> Antibodies >> TRPV3 Antibody

TRPV3 Antibody (F40033)

  Catalog No Formulation Size Price (USD)  
Image F40033-0.4ML In 1X PBS, pH 7.4, with 0.09% sodium azide 0.4 ml 429
Image
F40033-0.08ML In 1X PBS, pH 7.4, with 0.09% sodium azide 0.08 ml 199
Bulk quote request
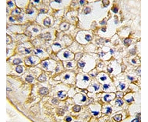
IHC analysis of FFPE human testis tissue stained with TRPV3 antibody
Western blot analysis of TRPV3 antibody and HL-60 lysate.
Availability 1-3 business days
Species Reactivity Human
Format Purified
Clonality Polyclonal (rabbit origin)
Isotype Rabbit Ig
Purity Purified
UniProt Q4QYD9
Applications Western Blot : 1:1000
IHC (Paraffin) : 1:10-1:50
Limitations This TRPV3 antibody is available for research use only.
Review this product on BioCompare and get a $20 Amazon gift card

Related Products

  • Applications : WB
    Reactivity : Human
  • Applications : WB, IHC, ELISA
    Reactivity : Human, Mouse
  • Applications : WB, IHC-P, FACS, Direct ELISA
    Reactivity : Human
  • Applications : WB
    Reactivity : Human

Description

TRPV3 belongs to a family of nonselective cation channels that function in a variety of processes, including temperature sensation and vasoregulation. The thermosensitive members of this family are expressed in subsets of sensory neurons that terminate in the skin, and are activated at distinct physiological temperatures. This channel is activated at temperatures between 22 and 40 degrees C.

Application Notes

Titration of the TRPV3 antibody may be required due to differences in protocols and secondary/substrate sensitivity.

Immunogen

A portion of amino acids 662-692 from the rat protein was used as the immunogen for this TRPV3 antibody.

Storage

Aliquot the TRPV3 antibody and store frozen at -20oC or colder. Avoid repeated freeze-thaw cycles.

Cross
Bulk Quote Request Form
Name*:
Organization*:
Email*:
Phone Number*:
Catalog No.*:
Comments and Specifics(amount, formulation, etc.)*:
Validation code: Captchapackage Image


Can't read the image? click here to refresh.
    *required field

Your bulk quote request has been submitted successfully!

Please contact us if you have any questions.