• Tel: 858.663.9055
  • SeparatorEmail: info@nsjbio.com
  • Tel: 858.663.9055
  • Email: info@nsjbio.com
Home >> Antibodies >> TRPV2 Antibody (VRL1)

TRPV2 Antibody (VRL1) (R31083)

  Catalog No Formulation Size Price (USD)  
Image R31083 0.5mg/ml if reconstituted with 0.2ml sterile DI water 100 ug 439
Bulk quote request
Western blot testing of TRPV2 antibody and HeLa cell lysate. Expected molecular weight: 85-95 kDa depending on glycosylation level.
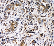
IHC-P: TRPV2 antibody testing of human intestine cancer tissue
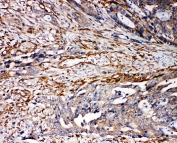
IHC-P: TRPV2 antibody testing of human breast cancer tissue
Availability 1-3 business days
Species Reactivity Human
Format Antigen affinity purified
Clonality Polyclonal (rabbit origin)
Isotype Rabbit IgG
Purity Antigen affinity
Buffer Lyophilized from 1X PBS with 2.5% BSA and 0.025% sodium azide/thimerosal
UniProt Q9Y5S1
Applications Western Blot : 0.5-1ug/ml
Immunohistochemistry (FFPE) : 0.5-1ug/ml
Immunohistochemistry (Frozen) : 0.5-1ug/ml
Limitations This TRPV2 antibody is available for research use only.
Review this product on BioCompare and get a $20 Amazon gift card

Related Products

  • Applications : WB, ELISA
    Reactivity : Human
  • Applications : WB, ELISA (peptide)
    Reactivity : Mouse, Rat
  • Applications : WB, FACS, Direct ELISA
    Reactivity : Human, Mouse, Rat

Description

Transient Receptor Potential Cation Channel Subfamily V Member 2, also known as VRL1, is a protein that, in humans, is encoded by the TRPV2 gene. The International Radiation Hybrid Mapping Consortium mapped the TRPV2 gene to chromosome 17. This gene encodes an ion channel that is activated by high temperatures above 52oC. The protein may be involved in transduction of high-temperature heat responses in sensory ganglia. It is though that in other tissues the channel may be activated by stimuli other than heat.

Application Notes

The stated application concentrations are suggested starting amounts. Titration of the TRPV2 antibody may be required due to differences in protocols and secondary/substrate sensitivity.

Immunogen

Amino acids 42-624 (QFQGEDRKFAPQIRVNLNYRK-human) were used as the immunogen for this TRPV2 antibody.

Storage

After reconstitution, the TRPV2 antibody can be stored for up to one month at 4oC. For long-term, aliquot and store at -20oC. Avoid repeated freezing and thawing.

Cross
Bulk Quote Request Form
Name*:
Organization*:
Email*:
Phone Number*:
Catalog No.*:
Comments and Specifics(amount, formulation, etc.)*:
Validation code: Captchapackage Image


Can't read the image? click here to refresh.
    *required field

Your bulk quote request has been submitted successfully!

Please contact us if you have any questions.