• Tel: 858.663.9055
  • SeparatorEmail: info@nsjbio.com
  • Tel: 858.663.9055
  • Email: info@nsjbio.com
Home >> Antibodies >> TRPS1 Antibody / Tricho-rhino-phalangeal syndrome type I

TRPS1 Antibody / Tricho-rhino-phalangeal syndrome type I (RQ7593)

  Catalog No Formulation Size Price (USD)  
Image RQ7593 0.5mg/ml if reconstituted with 0.2ml sterile DI water 100 ug 439
Bulk quote request
Immunofluorescent staining of FFPE human MCF7 cells with TRPS1 antibody (green) and Alpha Tubulin mAb (red). HIER: steam section in pH6 citrate buffer for 20 min.
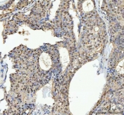
IHC staining of FFPE human breast cancer tissue with TRPS1 antibody. HIER: boil tissue sections in pH8 EDTA for 20 min and allow to cool before testing.
Western blot testing of human MCF7 cell lysate with TRPS1 antibody. Predicted molecular weight ~142 kDa, commonly observed at ~160 kDa.
Flow cytometry testing of human U-2 OS cells with TRPS1 antibody at 1ug/million cells (blocked with goat sera); Red=cells alone, Green=isotype control, Blue= TRPS1 antibody.
Availability 1-3 business days
Species Reactivity Human
Format Antigen affinity purified
Clonality Polyclonal (rabbit origin)
Isotype Rabbit IgG
Purity Antigen affinity purified
Buffer Lyophilized from 1X PBS with 2% Trehalose
UniProt Q9UHF7
Localization Nuclear
Applications Western Blot : 0.5-1ug/ml
Immunohistochemistry (FFPE) : 2-5ug/ml
Immunofluorescence : 5ug/ml
Flow Cytometry : 1-3ug/million cells
Direct ELISA : 0.1-0.5ug/ml
Limitations This TRPS1 antibody is available for research use only.
Review this product on BioCompare and get a $20 Amazon gift card

Related Products

Description

Zinc finger transcription factor Trps1 is a protein that in humans is encoded by the TRPS1 gene. This gene encodes a transcription factor that represses GATA-regulated genes and binds to a dynein light chain protein. Binding of the encoded protein to the dynein light chain protein affects binding to GATA consensus sequences and suppresses its transcriptional activity. Defects in this gene are a cause of tricho-rhino-phalangeal syndrome (TRPS) types I-III.

Application Notes

Optimal dilution of the TRPS1 antibody should be determined by the researcher.

Immunogen

E. coli-derived recombinant human protein (amino acids H353-D1257) was used as the immunogen for the TRPS1 antibody.

Storage

After reconstitution, the TRPS1 antibody can be stored for up to one month at 4oC. For long-term, aliquot and store at -20oC. Avoid repeated freezing and thawing.

Cross
Bulk Quote Request Form
Name*:
Organization*:
Email*:
Phone Number*:
Catalog No.*:
Comments and Specifics(amount, formulation, etc.)*:
Validation code: Captchapackage Image


Can't read the image? click here to refresh.
    *required field

Your bulk quote request has been submitted successfully!

Please contact us if you have any questions.