• Tel: 858.663.9055
  • SeparatorEmail: info@nsjbio.com
  • Tel: 858.663.9055
  • Email: info@nsjbio.com
Home >> Antibodies >> TRPM8 Antibody

TRPM8 Antibody (F51113)

  Catalog No Formulation Size Price (USD)  
Image F51113-0.4ML In 1X PBS, pH 7.4, with 0.09% sodium azide 0.4 ml 429
Image
F51113-0.08ML In 1X PBS, pH 7.4, with 0.09% sodium azide 0.08 ml 199
Bulk quote request
Western blot analysis of TRPM8 antibody and 293 cell lysate either nontransfected (Lane 1) or transiently transfected with the TRPM8 gene (2). Predicted molecular weight ~128 kDa.
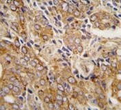
IHC analysis of FFPE human prostate carcinoma tissue stained with TRPM8 antibody
Availability 1-3 business days
Species Reactivity Human
Predicted Reactivity Mouse
Format Purified
Clonality Polyclonal (rabbit origin)
Isotype Rabbit Ig
Purity Purified
UniProt Q7Z2W7
Applications Western Blot : 1:1000
IHC (Paraffin) : 1:10-1:50
Limitations This TRPM8 antibody is available for research use only.
Review this product on BioCompare and get a $20 Amazon gift card

Related Products

  • Applications : WB, IHC, ELISA
    Reactivity : Human
  • Applications : IHC, IF, WB, ELISA
    Reactivity : Human
  • Applications : WB, IHC, ELISA
    Reactivity : Human
    Pred. Reactivity : Rat
  • Applications : WB, IHC, ELISA
    Reactivity : Human
  • Applications : WB
    Reactivity : Human

Description

TRPM8 is a receptor-activated non-selective cation channel involved in detection of sensations such as coolness, by being activated by cold temperature below 25 degrees Celsius. It is activated by icilin, eucalyptol, menthol, cold and modulation of intracellular pH and involved in menthol sensation. It is permeable for monovalent cations sodium, potassium, and cesium and divalent cation calcium.

Application Notes

Titration of the TRPM8 antibody may be required due to differences in protocols and secondary/substrate sensitivity.

Immunogen

A portion of amino acids 926-956 from the human protein was used as the immunogen for this TRPM8 antibody.

Storage

Aliquot the TRPM8 antibody and store frozen at -20oC or colder. Avoid repeated freeze-thaw cycles.

Cross
Bulk Quote Request Form
Name*:
Organization*:
Email*:
Phone Number*:
Catalog No.*:
Comments and Specifics(amount, formulation, etc.)*:
Validation code: Captchapackage Image


Can't read the image? click here to refresh.
    *required field

Your bulk quote request has been submitted successfully!

Please contact us if you have any questions.