• Tel: 858.663.9055
  • SeparatorEmail: info@nsjbio.com
  • Tel: 858.663.9055
  • Email: info@nsjbio.com
Home >> Antibodies >> TRPM5 Antibody

TRPM5 Antibody (R32340)

  Catalog No Formulation Size Price (USD)  
Image R32340 0.5mg/ml if reconstituted with 0.2ml sterile DI water 100 ug 439
Bulk quote request
Western blot testing of human 1) SMMC and 2) 293 cell lysate with TRPM5 antibody. Expected/observed molecular weight ~131 kDa.
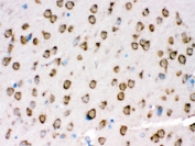
IHC testing of FFPE human prostate cancer tissue with TRPM5 antibody. HIER: Boil the paraffin sections in pH 6, 10mM citrate buffer for 20 minutes and allow to cool prior to staining.
IHC testing of FFPE mouse brain with TRPM5 antibody. HIER: Boil the paraffin sections in pH 6, 10mM citrate buffer for 20 minutes and allow to cool prior to staining.
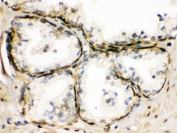
IHC testing of FFPE rat testis with TRPM5 antibody. HIER: Boil the paraffin sections in pH 6, 10mM citrate buffer for 20 minutes and allow to cool prior to staining.
Availability 1-3 business days
Species Reactivity Human, Mouse, Rat
Format Antigen affinity purified
Clonality Polyclonal (rabbit origin)
Isotype Rabbit IgG
Purity Antigen affinity
Buffer Lyophilized from 1X PBS with 2.5% BSA and 0.025% sodium azide
UniProt Q9NZQ8
Localization Cytoplasmic, membranous
Applications Western Blot : 0.1-0.5ug/ml
Immunohistochemistry (FFPE) : 0.5-1ug/ml
Limitations This TRPM5 antibody is available for research use only.
Review this product on BioCompare and get a $20 Amazon gift card

Description

Transient receptor potential cation channel subfamily M member 5 (TRPM5) is a protein that in humans is encoded by the TRPM5 gene. This gene encodes a member of the transient receptor potential (TRP) protein family, which is a diverse group of proteins with structural features typical of ion channels. This protein plays an important role in taste transduction, and has characteristics of a calcium-activated, non-selective cation channel that carries Na+, K+, and Cs+ ions equally well, but not Ca(2+) ions. It is activated by lower concentrations of intracellular Ca(2+), and inhibited by higher concentrations. It is also a highly temperature-sensitive, heat activated channel showing a steep increase of inward currents at temperatures between 15 and 35 degrees Celsius. This gene is located within the Beckwith-Wiedemann syndrome critical region-1 on chromosome 11p15.5, and has been shown to be imprinted, with exclusive expression from the paternal allele.

Application Notes

Optimal dilution of the TRPM5 antibody should be determined by the researcher.

Immunogen

Amino acids 1021-1108 of human TRPM5 were used as the immunogen for the TRPM5 antibody.

Storage

After reconstitution, the TRPM5 antibody can be stored for up to one month at 4oC. For long-term, aliquot and store at -20oC. Avoid repeated freezing and thawing.

Cross
Bulk Quote Request Form
Name*:
Organization*:
Email*:
Phone Number*:
Catalog No.*:
Comments and Specifics(amount, formulation, etc.)*:
Validation code: Captchapackage Image


Can't read the image? click here to refresh.
    *required field

Your bulk quote request has been submitted successfully!

Please contact us if you have any questions.