• Tel: 858.663.9055
  • SeparatorEmail: info@nsjbio.com
  • Tel: 858.663.9055
  • Email: info@nsjbio.com
Home >> Antibodies >> TRPC6 Antibody

TRPC6 Antibody [clone TRPC6/7672] (V4150)

  Catalog No Formulation Size Price (USD)  
Image V4150-100UG 0.2 mg/ml in 1X PBS with 0.1 mg/ml BSA (US sourced), 0.05% sodium azide 100 ug 539
Image
V4150-20UG 0.2 mg/ml in 1X PBS with 0.1 mg/ml BSA (US sourced), 0.05% sodium azide 20 ug 249
Image
V4150SAF-100UG 1 mg/ml in 1X PBS; BSA free, sodium azide free 100 ug 539
Bulk quote request
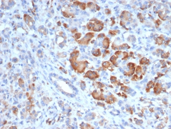
IHC staining of FFPE human pancreas tissue with TRPC6 antibody (clone TRPC6/7672). HIER: boil tissue sections in pH 9 10mM Tris with 1mM EDTA for 20 min and allow to cool before testing.
SDS-PAGE analysis of purified, BSA-free TRPC6 antibody (clone TRPC6/7672) as confirmation of integrity and purity.
Availability 1-3 business days
Species Reactivity Human
Format Purified
Clonality Monoclonal (mouse origin)
Isotype Mouse IgG2, kappa
Clone Name TRPC6/7672
Purity Protein A/G affinity
UniProt Q9Y210
Localization Cell surface
Applications Immunohistochemistry (FFPE) : 1-2ug/ml for 30 minutes at RT
Limitations This TRPC6 antibody is available for research use only.
Review this product on BioCompare and get a $20 Amazon gift card

Related Products

  • Applications : IHC-P
    Reactivity : Human
  • Applications : WB, IHC-P
    Reactivity : Human, Mouse, Rat
  • Applications : WB, ELISA (peptide)
    Reactivity : Human
    Pred. Reactivity : Cow
  • Applications : WB
    Reactivity : Mouse, Rat
    Pred. Reactivity : Human

Description

Phenylalanine hydroxylase (PAH), tyrosine hydroxylase (TH) and tryptophan hydroxylase (TPH) comprise a small family of monooxygenases that use tetrahydropterine as a cofactor during the catabolism of aromatic L-amino acids. PAH, TH and TPH all contain catalytic domains with an amino-terminal regulatory domain and a short carboxy-terminal tetramerization domain. Each of these enzymes also contains a single ferrous iron atom, which is bound to two histidines and a glutamate, and is likely to be involved in the formation of the hydroxylating intermediate. TPH is both the first and rate-limiting-step in the biosynthesis of serotonin in the central nervous system and melatonin in the pineal gland. Alteration of TPH function may be a key factor in the pathology of several neuropsychiatric disorders associated with serotonin, including depression, aggression, alcoholism and schizophrenia. For instance, LDOPA, which is used as a common therapy for Parkinson s disease (PD) patients, inhibits TPH function which, subsequently, is thought to contribute to the onset of depression in PD patients.

Application Notes

Optimal dilution of the TRPC6 antibody should be determined by the researcher.

Immunogen

Recombinant full-length human TRPC6 protein was used as the immunogen for the TRPC6 antibody.

Storage

Aliquot the TRPC6 antibody and store frozen at -20oC or colder. Avoid repeated freeze-thaw cycles.

Cross
Bulk Quote Request Form
Name*:
Organization*:
Email*:
Phone Number*:
Catalog No.*:
Comments and Specifics(amount, formulation, etc.)*:
Validation code: Captchapackage Image


Can't read the image? click here to refresh.
    *required field

Your bulk quote request has been submitted successfully!

Please contact us if you have any questions.