• Tel: 858.663.9055
  • SeparatorEmail: info@nsjbio.com
  • Tel: 858.663.9055
  • Email: info@nsjbio.com
Home >> Antibodies >> TRPC3 Antibody

TRPC3 Antibody (R30846)

  Catalog No Formulation Size Price (USD)  
Image R30846 0.5mg/ml if reconstituted with 0.2ml sterile DI water 100 ug 439
Bulk quote request
Western blot testing of TRPC3 antibody and Lane 1: rat liver; 2: (r) lung; 3: (r) intestine; 4: (r) ovary; 5: human U87; 6: (h) A549; 7: (h) COLO320; 8: (h) SW620; 9: (h) HeLa lysate. Predicted molecular weight ~96/106/97 kDa (isoforms 1/2/3), observed here at ~120 kDa.
Western blot testing of 1) rat brain, 2) mouse brain, 3) human HeLa, 4) human 22RV1, 5) human U-87 MG and 6) mouse Neuro-2a cell lysate with TRPC3 antibody. Predicted molecular weight ~96/106/97 kDa (isoforms 1/2/3).
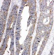
IHC-P: TRPC3 antibody testing of FFPE human rectal cancer tissue. Required HIER: steam section in pH6 citrate buffer for 20 min.
IHC-P: TRPC3 antibody testing of FFPE rat brain tissue. Required HIER: steam section in pH6 citrate buffer for 20 min.
Availability 1-3 business days
Species Reactivity Human, Mouse, Rat
Format Antigen affinity purified
Clonality Polyclonal (rabbit origin)
Isotype Rabbit IgG
Purity Antigen affinity
Buffer Lyophilized from 1X PBS with 2.5% BSA and 0.025% sodium azide/thimerosal
UniProt Q13507
Localization Membrane
Applications Western Blot : 0.5-1ug/ml
Immunohistochemistry (FFPE) : 0.5-1ug/ml
Limitations This TRPC3 antibody is available for research use only.
Review this product on BioCompare and get a $20 Amazon gift card

Related Products

  • Applications : WB
    Reactivity : Mouse, Rat
    Pred. Reactivity : Human
  • Applications : WB
    Reactivity : Mouse, Rat

Description

Transient receptor potential cation channel, subfamily C, member 3, also known as TRP3, is expressed in megakaryocytic cell lines and therefore may play a role in calcium homeostasis in megakaryocytes and platelets. Using patch-clamp and whole-cell recordings of human embryonic kidney cells transfected with TRPC3, the protein behaved as an inositol phosphate and diacylglycerol-gated channel, but not as a store-operated channel. The TRPC3 gene, but not other TRPC genes, was damaged in several mutant T-cell lines with defective calcium influx, resulting in expression of truncated transcripts. Reduced calcium channel activity could be reversed by restoration of wildtype TRPC3. It is part of endogenous calcium channels in T lymphocytes and contributes to T-cell receptor-dependent calcium entry into T cells. Neuropathologic studies showed impaired growth and differentiation of dendritic arbors of the Purkinje cells, suggesting that normal TRPC3 plays a role in the development and survival of cerebellar Purkinje cells.

Application Notes

The stated application concentrations are suggested starting amounts. Titration of the TRPC3 antibody may be required due to differences in protocols and secondary/substrate sensitivity.

Immunogen

Amino acids 836-851 (HSFNSILNQPTRYQQI) were used as the immunogen for this TRPC3 antibody (100% homologous in human, mouse and rat).

Storage

After reconstitution, the TRPC3 antibody can be stored for up to one month at 4oC. For long-term, aliquot and store at -20oC. Avoid repeated freezing and thawing.

Cross
Bulk Quote Request Form
Name*:
Organization*:
Email*:
Phone Number*:
Catalog No.*:
Comments and Specifics(amount, formulation, etc.)*:
Validation code: Captchapackage Image


Can't read the image? click here to refresh.
    *required field

Your bulk quote request has been submitted successfully!

Please contact us if you have any questions.