• Tel: 858.663.9055
  • SeparatorEmail: info@nsjbio.com
  • Tel: 858.663.9055
  • Email: info@nsjbio.com
Home >> Antibodies >> Tropomyosin 4 Antibody / TPM4

Tropomyosin 4 Antibody / TPM4 (F54657)

  Catalog No Formulation Size Price (USD)  
Image F54657-0.4ML In 1X PBS, pH 7.4, with 0.09% sodium azide 0.4 ml 429
Image
F54657-0.08ML In 1X PBS, pH 7.4, with 0.09% sodium azide 0.08 ml 199
Bulk quote request
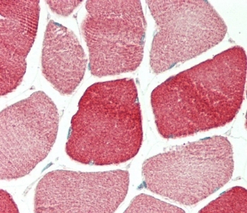
IHC testing of FFPE human skeletal muscle tissue with Tropomyosin 4 antibody. HIER: steam section in pH6 citrate buffer for 20 min and allow to cool prior to staining.
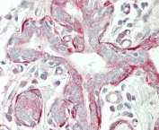
IHC testing of FFPE human breast tissue with Tropomyosin 4 antibody. HIER: steam section in pH6 citrate buffer for 20 min and allow to cool prior to staining.
Western blot testing of human 1) U-251, 2) A549 and 3) Jurkat cell lysate with Tropomyosin 4 antibody. Predicted molecular weight ~33 kDa.
Flow cytometry testing of human U-251 cells with Tropomyosin 4 antibody; Left=isotype control, Right= Tropomyosin 4 antibody.
Availability 1-3 business days
Species Reactivity Human
Format Purified
Clonality Polyclonal (rabbit origin)
Isotype Rabbit Ig
Purity Antigen affinity purified
UniProt P67936
Applications Flow Cytometry : 1:25 (1x10e6 cells)
Western Blot : 1:500-1:2000
Immunohistochemistry (FFPE) : 1:25
Limitations This Tropomyosin 4 antibody is available for research use only.
Review this product on BioCompare and get a $20 Amazon gift card

Related Products

  • Applications : WB, ELISA (peptide)
    Reactivity : Human, Mouse, Pig
    Pred. Reactivity : Cow, Dog, Rat

Description

The TPM4 gene encodes a member of the tropomyosin family of actin-binding proteins involved in the contractile system of striated and smooth muscles and the cytoskeleton of non-muscle cells. Tropomyosins are dimers of coiled-coil proteins that polymerize end-to-end along the major groove in most actin filaments. They provide stability to the filaments and regulate access of other actin-binding proteins. In muscle cells, they regulate muscle contraction by controlling the binding of myosin heads to the actin filament. Multiple transcript variants encoding different isoforms have been found for this gene. [provided by RefSeq].

Application Notes

The stated application concentrations are suggested starting points. Titration of the Tropomyosin 4 antibody may be required due to differences in protocols and secondary/substrate sensitivity.

Immunogen

A portion of amino acids 26-54 from the human protein was used as the immunogen for the Tropomyosin 4 antibody.

Storage

Aliquot the Tropomyosin 4 antibody and store frozen at -20oC or colder. Avoid repeated freeze-thaw cycles.

Cross
Bulk Quote Request Form
Name*:
Organization*:
Email*:
Phone Number*:
Catalog No.*:
Comments and Specifics(amount, formulation, etc.)*:
Validation code: Captchapackage Image


Can't read the image? click here to refresh.
    *required field

Your bulk quote request has been submitted successfully!

Please contact us if you have any questions.