• Tel: 858.663.9055
  • SeparatorEmail: info@nsjbio.com
  • Tel: 858.663.9055
  • Email: info@nsjbio.com
Home >> Antibodies >> TrkA Antibody / NTRK1

TrkA Antibody / NTRK1 (F50683)

  Catalog No Formulation Size Price (USD)  
Image F50683-0.4ML In 1X PBS, pH 7.4, with 0.09% sodium azide 0.4 ml 429
Image
F50683-0.08ML In 1X PBS, pH 7.4, with 0.09% sodium azide 0.08 ml 199
Bulk quote request
Western blot analysis of TrkA antibody and HepG2 lysate. Observed molecular weight: 85~140 kDa depending on glycosylation level.
TrkA antibody flow cytometric analysis of HeLa cells (green) compared to a negative control (blue). FITC-conjugated goat-anti-rabbit secondary Ab was used for the analysis.
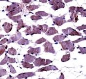
TrkA antibody immunohistochemistry analysis in formalin fixed and paraffin embedded human skeletal muscle.
TrkA antibody immunohistochemistry analysis in formalin fixed and paraffin embedded human brain tissue.
Western blot analysis of TrkA antibody and mouse brain lysate. Observed molecular weight: 85~140 kDa depending on glycosylation level.
Availability 1-3 business days
Species Reactivity Human
Format Antigen affinity purified
Clonality Polyclonal (rabbit origin)
Isotype Rabbit Ig
Purity Antigen affinity
UniProt P04629
Applications Western Blot : 1:1000
Flow Cytometry : 1:10-1:50
IHC (Paraffin) : 1:10-1:50
Limitations This TrkA antibody is available for research use only.
Review this product on BioCompare and get a $20 Amazon gift card

Related Products

Description

TRKA (also known as NTRK1) is a member of the neurotrophic tyrosine kinase receptor (NTKR) family. This kinase is a membrane-bound receptor that, upon neurotrophin binding, phosphorylates itself and members of the MAPK pathway. The presence of this kinase leads to cell differentiation and may play a role in specifying sensory neuron subtypes. Mutations in the TRKA gene have been associated with congenital insensitivity to pain, anhidrosis, self-mutilating behavior, mental retardation and cancer.

Application Notes

Titration of the TrkA antibody may be required due to differences in protocols and secondary/substrate sensitivity.

Immunogen

A portion of amino acids 769-796 from the human protein was used as the immunogen for this TrkA antibody.

Storage

Aliquot the TrkA antibody and store frozen at -20oC or colder. Avoid repeated freeze-thaw cycles.

Cross
Bulk Quote Request Form
Name*:
Organization*:
Email*:
Phone Number*:
Catalog No.*:
Comments and Specifics(amount, formulation, etc.)*:
Validation code: Captchapackage Image


Can't read the image? click here to refresh.
    *required field

Your bulk quote request has been submitted successfully!

Please contact us if you have any questions.