• Tel: 858.663.9055
  • SeparatorEmail: info@nsjbio.com
  • Tel: 858.663.9055
  • Email: info@nsjbio.com
Home >> Antibodies >> TRIM72 Antibody

TRIM72 Antibody (RQ7461)

  Catalog No Formulation Size Price (USD)  
Image RQ7461 0.5mg/ml if reconstituted with 0.2ml sterile DI water 100 ug 439
Bulk quote request
Immunofluorescent staining of FFPE human skeletal muscle tissue with TRIM72 antibody (red) and DAPI nuclear stain (blue). HIER: steam section in pH8 EDTA buffer for 20 min.
IHC staining of FFPE human skeletal muscle tissue with TRIM72 antibody. HIER: boil tissue sections in pH8 EDTA for 20 min and allow to cool before testing.
IHC staining of FFPE mouse cardiac muscle tissue with TRIM72 antibody. HIER: boil tissue sections in pH8 EDTA for 20 min and allow to cool before testing.
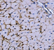
IHC staining of FFPE rat heart tissue with TRIM72 antibody. HIER: boil tissue sections in pH8 EDTA for 20 min and allow to cool before testing.
Western blot testing of 1) rat skeletal muscle, 2) rat heart, 3) mouse skeletal muscle and 4) mouse heart tissue lysate with TRIM72 antibody. Predicted molecular weight ~52 kDa.
Flow cytometry testing of human ThP-1 cells with TRIM72 antibody at 1ug/million cells (blocked with goat sera); Red=cells alone, Green=isotype control, Blue= TRIM72 antibody.
Availability 1-3 business days
Species Reactivity Human, Mouse, Rat
Format Antigen affinity purified
Clonality Polyclonal (rabbit origin)
Isotype Rabbit IgG
Purity Antigen affinity purified
Buffer Lyophilized from 1X PBS with 2% Trehalose
UniProt Q6ZMU5
Localization Cell membrane
Applications Western Blot : 0.5-1ug/ml
Immunohistochemistry (FFPE) : 2-5ug/ml
Immunofluorescence : 5ug/ml
Flow Cytometry : 1-3ug/million cells
Direct ELISA : 0.1-0.5ug/ml
Limitations This TRIM72 antibody is available for research use only.
Review this product on BioCompare and get a $20 Amazon gift card

Related Products

  • Applications : WB, IHC, ELISA (peptide)
    Reactivity : Human, Mouse
    Pred. Reactivity : Cow, Dog, Rat

Description

Enables identical protein binding activity. Predicted to be involved in several processes, including cellular protein metabolic process; plasma membrane repair; and protein homooligomerization. Predicted to act upstream of or within negative regulation of insulin receptor signaling pathway; negative regulation of insulin-like growth factor receptor signaling pathway; and negative regulation of myotube differentiation. Predicted to be located in cytoplasmic vesicle membrane. Predicted to be active in cytoplasm and sarcolemma.

Application Notes

Optimal dilution of the TRIM72 antibody should be determined by the researcher.

Immunogen

E. coli-derived recombinant human protein (amino acids E28-A477) was used as the immunogen for the TRIM72 antibody.

Storage

After reconstitution, the TRIM72 antibody can be stored for up to one month at 4oC. For long-term, aliquot and store at -20oC. Avoid repeated freezing and thawing.

Cross
Bulk Quote Request Form
Name*:
Organization*:
Email*:
Phone Number*:
Catalog No.*:
Comments and Specifics(amount, formulation, etc.)*:
Validation code: Captchapackage Image


Can't read the image? click here to refresh.
    *required field

Your bulk quote request has been submitted successfully!

Please contact us if you have any questions.