• Tel: 858.663.9055
  • SeparatorEmail: info@nsjbio.com
  • Tel: 858.663.9055
  • Email: info@nsjbio.com
Home >> Antibodies >> TRIM71 Antibody

TRIM71 Antibody (R35741)

  Catalog No Formulation Size Price (USD)  
Image R35741-100UG 0.5 mg/ml in 1X TBS, pH7.3, with 0.5% BSA (US sourced) and 0.02% sodium azide 100 ug 449
Bulk quote request
Western blot testing of human HEK293 [A] and mouse NIH3T3 [B] lysate with TRIM71 antibody at 0.3ug/ml. Predicted molecular weight: ~93 kDa.
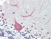
IHC testing of FFPE human cerebellum tissue with TRIM71 antibody at 3.75ug/ml. Required HIER: steamed antigen retrieval with pH6 citrate buffer; AP-staining.
Availability 1-3 business days
Species Reactivity Human, Mouse
Predicted Reactivity Rat, Dog, Cow
Format Antigen affinity purified
Clonality Polyclonal (goat origin)
Isotype Goat Ig
Purity Antigen affinity
Gene ID 131405
Localization Cytoplasmic
Applications Western Blot : 0.3-1ug/ml
IHC (FFPE) : 3.75ug/ml
ELISA (peptide) LOD : 1:8000
Limitations This TRIM71 antibody is available for research use only.
Review this product on BioCompare and get a $20 Amazon gift card

Related Products

  • Applications : WB, ELISA (peptide)
    Reactivity : Human, Mouse
    Pred. Reactivity : Cow, Dog, Rat
  • Applications : WB, IHC-P, FACS, Direct ELISA
    Reactivity : Human, Mouse, Rat

Description

Additional name(s) for this target protein: Tripartite motif-containing 71

Application Notes

Optimal dilution of the TRIM71 antibody should be determined by the researcher.

Immunogen

Amino acids RQVKAKSLYLQVE were used as the immunogen for this TRIM71 antibody.

Storage

Aliquot and store the TRIM71 antibody at -20oC.

Cross
Bulk Quote Request Form
Name*:
Organization*:
Email*:
Phone Number*:
Catalog No.*:
Comments and Specifics(amount, formulation, etc.)*:
Validation code: Captchapackage Image


Can't read the image? click here to refresh.
    *required field

Your bulk quote request has been submitted successfully!

Please contact us if you have any questions.