• Tel: 858.663.9055
  • SeparatorEmail: info@nsjbio.com
  • Tel: 858.663.9055
  • Email: info@nsjbio.com
Home >> Antibodies >> TRIM33 Antibody / TIF1 gamma

TRIM33 Antibody / TIF1 gamma [clone 8I8] (RQ5854)

  Catalog No Formulation Size Price (USD)  
Image RQ5854 0.5mg/ml if reconstituted with 0.2ml sterile DI water 100 ug 439
Bulk quote request
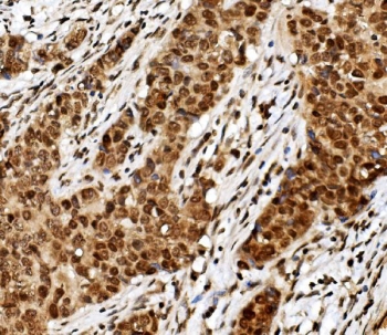
IHC staining of FFPE human breast cancer with TRIM33 antibody. HIER: boil tissue sections in pH8 EDTA for 20 min and allow to cool before testing.
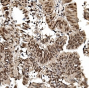
IHC staining of FFPE human rectal cancer with TRIM33 antibody. HIER: boil tissue sections in pH8 EDTA for 20 min and allow to cool before testing.
Immunofluorescent staining of FFPE human HeLa cells with TRIM33 antibody (green) and DAPI nuclear stain (blue). HIER: steam section in pH6 citrate buffer for 20 min.
Western blot testing of human 1) MCF7, 2) SW620 and 3) K562 lysate with TRIM33 antibody. Predicted molecular weight ~122 kDa but routinely observed at ~155 kDa.
Flow cytometry testing of human HL-60 cells with TRIM33 antibody at 1ug/million cells (blocked with goat sera); Red=cells alone, Green=isotype control, Blue= TRIM33 antibody.
Availability 1-3 business days
Species Reactivity Human
Format Antigen affinity purified
Clonality Monoclonal (mouse origin)
Isotype Mouse IgG2b
Clone Name 8I8
Purity Affinity purified
Buffer Lyophilized from 1X PBS with 2% Trehalose and 0.025% sodium azide
UniProt Q9UPN9
Localization Nuclear
Applications Western Blot : 0.5-1ug/ml
Immunohistochemistry : 1-2ug/ml
Immunofluorescence : 2-4ug/ml
Flow Cytometry : 1-3ug/million cells
Limitations This TRIM33 antibody is available for research use only.
Review this product on BioCompare and get a $20 Amazon gift card

Related Products

  • Applications : WB, IHC-P, FACS, IF
    Reactivity : Human, Mouse, Rat

Description

Tripartite motif-containing 33 (TRIM33), also known as transcriptional intermediary factor 1 gamma (TIF1g), is a human gene. The TRIM33 gene is mapped to chromosome 1p13 by FISH. The protein encoded by this gene is thought to be a transcriptional corepressor. However, molecules that interact with this protein have not yet been identified. The protein is a member of the tripartite motif family. This motif includes three zinc-binding domains, a RING, a B-box type 1 and a B-box type 2, and a coiled-coil region. Three alternatively spliced transcript variants for this gene have been described; however, the full-length nature of one variant has not been determined.

Application Notes

Optimal dilution of the TRIM33 antibody should be determined by the researcher.

Immunogen

Recombinant human protein (amino acids M1001-K1127) was used as the immunogen for the TRIM33 antibody.

Storage

After reconstitution, the TRIM33 antibody can be stored for up to one month at 4oC. For long-term, aliquot and store at -20oC. Avoid repeated freezing and thawing.

Cross
Bulk Quote Request Form
Name*:
Organization*:
Email*:
Phone Number*:
Catalog No.*:
Comments and Specifics(amount, formulation, etc.)*:
Validation code: Captchapackage Image


Can't read the image? click here to refresh.
    *required field

Your bulk quote request has been submitted successfully!

Please contact us if you have any questions.