• Tel: 858.663.9055
  • SeparatorEmail: info@nsjbio.com
  • Tel: 858.663.9055
  • Email: info@nsjbio.com
Home >> Antibodies >> TRIM3 Antibody

TRIM3 Antibody (R33142)

  Catalog No Formulation Size Price (USD)  
Image R33142-100UG 0.5 mg/ml in 1X TBS, pH7.3, with 0.5% BSA (US sourced) and 0.02% sodium azide 100 ug 449
Bulk quote request
Western blot testing of mouse brain lysate with TRIM3 antibody at 0.05ug/ml. Predicted molecular weight: ~81kDa.
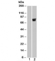
Western blot of HEK293 lysate overexpressing TRIM3 probed with TRIM3 antibody (mock transfection in lane 1). Predicted molecular weight: ~81kDa.
Western blot testing of 1) human cerebellum and 2) rat brain lysate with TRIM3 antibody at 0.3ug/ml. Predicted molecular weight: ~81kDa.
Availability 1-3 business days
Species Reactivity Human, Mouse, Rat
Predicted Reactivity Dog, Cow
Format Antigen affinity purified
Clonality Polyclonal (goat origin)
Isotype Goat Ig
Purity Antigen affinity
Gene ID 10612
Applications Western Blot : 0.05-0.3ug/ml
ELISA (peptide) LOD : 1:64000
Limitations This TRIM3 antibody is available for research use only.
Review this product on BioCompare and get a $20 Amazon gift card

Related Products

  • Applications : WB, FACS, Direct ELISA
    Reactivity : Human, Mouse, Rat

Description

Additional name(s) for this target protein: Tripartite motif-containing 3

Application Notes

Optimal dilution of the TRIM3 antibody should be determined by the researcher.

Immunogen

Amino acids AKREDSPGPEVQP were used as the immunogen for this TRIM3 antibody.

Storage

Aliquot and store the TRIM3 antibody at -20oC.

Cross
Bulk Quote Request Form
Name*:
Organization*:
Email*:
Phone Number*:
Catalog No.*:
Comments and Specifics(amount, formulation, etc.)*:
Validation code: Captchapackage Image


Can't read the image? click here to refresh.
    *required field

Your bulk quote request has been submitted successfully!

Please contact us if you have any questions.