• Tel: 858.663.9055
  • SeparatorEmail: info@nsjbio.com
  • Tel: 858.663.9055
  • Email: info@nsjbio.com
Home >> Antibodies >> Trim16 Antibody / Tripartite motif-containing protein 16

Trim16 Antibody / Tripartite motif-containing protein 16 (RQ6403)

  Catalog No Formulation Size Price (USD)  
Image RQ6403 0.5mg/ml if reconstituted with 0.2ml sterile DI water 100 ug 439
Bulk quote request
Immunofluorescent staining of FFPE mouse HEPA1-6 cells with Trim16 antibody (green) and DAPI nuclear stain (blue). HIER: steam section in pH6 citrate buffer for 20 min.
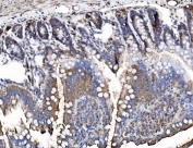
IHC staining of FFPE mouse intestine tissue with Trim16 antibody. HIER: boil tissue sections in pH8 EDTA for 20 min and allow to cool before testing.
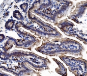
IHC staining of FFPE rat intestine tissue with Trim16 antibody. HIER: boil tissue sections in pH8 EDTA for 20 min and allow to cool before testing.
Western blot testing of 1) rat testis, 2) rat C6, 3) mouse NIH 3T3 and 4) mouse Neuro-2a cell lysate with Trim16 antibody. Predicted molecular weight: 54-63 kDa (multiple isoforms).
Availability 1-3 business days
Species Reactivity Mouse, Rat
Format Purified
Clonality Polyclonal (rabbit origin)
Isotype Rabbit IgG
Purity Antigen affinity purified
Buffer Lyophilized from 1X PBS with 2% Trehalose
UniProt Q99PP9
Localization Cytoplasmic
Applications Western Blot : 0.5-1ug/ml
Immunohistochemistry (FFPE) : 2-5ug/ml
Immunofluorescence (FFPE) : 5ug/ml
Direct ELISA : 0.1-0.5ug/ml
Limitations This Trim16 antibody is available for research use only.
Review this product on BioCompare and get a $20 Amazon gift card

Related Products

Description

Tripartite motif-containing protein 16 is a protein that in humans is encoded by the TRIM16 gene. This gene was identified as an estrogen and anti-estrogen regulated gene in epithelial cells stably expressing estrogen receptor. The protein encoded by this gene contains two B box domains and a coiled-coiled region that are characteristic of the B box zinc finger protein family. The proteins of this family have been reported to be involved in a variety of biological processes including cell growth, differentiation and pathogenesis. Expression of this gene was detected in most tissues. Its function, however, has not yet been determined.

Application Notes

Optimal dilution of the Trim16 antibody should be determined by the researcher.

Immunogen

Recombinant mouse protein (amino acids D65-K210) was used as the immunogen for the Trim16 antibody.

Storage

After reconstitution, the Trim16 antibody can be stored for up to one month at 4oC. For long-term, aliquot and store at -20oC. Avoid repeated freezing and thawing.

Cross
Bulk Quote Request Form
Name*:
Organization*:
Email*:
Phone Number*:
Catalog No.*:
Comments and Specifics(amount, formulation, etc.)*:
Validation code: Captchapackage Image


Can't read the image? click here to refresh.
    *required field

Your bulk quote request has been submitted successfully!

Please contact us if you have any questions.