• Tel: 858.663.9055
  • SeparatorEmail: info@nsjbio.com
  • Tel: 858.663.9055
  • Email: info@nsjbio.com
Home >> Antibodies >> TRC8 Antibody

TRC8 Antibody (R34302)

  Catalog No Formulation Size Price (USD)  
Image R34302-100UG 0.5 mg/ml in 1X TBS, pH7.3, with 0.5% BSA (US sourced) and 0.02% sodium azide 100 ug 449
Bulk quote request
Western blot testing of human skeletal muscle lysate with TRC8 antibody at 1ug/ml. Predicted/observed molecular weight: ~75kDa.
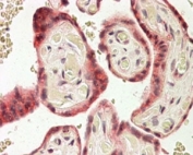
IHC staining of FFPE human placenta with TRC8 antibody at 4ug/ml. HIER: steamed with pH6 citrate buffer, AP-staining.
Availability 1-3 business days
Species Reactivity Human
Predicted Reactivity Dog
Format Antigen affinity purified
Clonality Polyclonal (goat origin)
Isotype Goat Ig
Purity Antigen affinity
Gene ID 11236
Applications Western Blot : 0.3-1ug/ml
Immunohistochemistry (FFPE) : 3-4ug/ml
ELISA (peptide) LOD : 1:16000
Limitations This TRC8 antibody is available for research use only.
Review this product on BioCompare and get a $20 Amazon gift card

Description

Additional name(s) for this target protein: Multiple membrane spanning receptor TRC8; patched related protein translocated in renal cancer; ring finger protein 139; RNF139

Application Notes

Optimal dilution of the TRC8 antibody should be determined by the researcher.

Immunogen

Amino acids HTGAAAEEFNDDT were used as the immunogen for this TRC8 antibody.

Storage

Aliquot and store the TRC8 antibody at -20oC.

Cross
Bulk Quote Request Form
Name*:
Organization*:
Email*:
Phone Number*:
Catalog No.*:
Comments and Specifics(amount, formulation, etc.)*:
Validation code: Captchapackage Image


Can't read the image? click here to refresh.
    *required field

Your bulk quote request has been submitted successfully!

Please contact us if you have any questions.