• Tel: 858.663.9055
  • SeparatorEmail: info@nsjbio.com
  • Tel: 858.663.9055
  • Email: info@nsjbio.com
Home >> Antibodies >> TRAP1 Antibody / HSP75

TRAP1 Antibody / HSP75 (R32204)

  Catalog No Formulation Size Price (USD)  
Image R32204 0.5mg/ml if reconstituted with 0.2ml sterile DI water 100 ug 439
Bulk quote request
Western blot testing of 1) rat heart, 2) rat kidney, 3) rat brain, 4) human SMMC, 5) human PANC and 6) human A549 lysate with TRAP1 antibody. Expected molecular weight: 75-80 kDa.
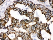
IHC testing of FFPE human intestinal cancer tissue with TRAP1 antibody. HIER: Boil the paraffin sections in pH 6, 10mM citrate buffer for 20 minutes and allow to cool prior to staining.
Availability 1-3 business days
Species Reactivity Human, Rat
Format Antigen affinity purified
Clonality Polyclonal (rabbit origin)
Isotype Rabbit IgG
Purity Antigen affinity
Buffer Lyophilized from 1X PBS with 2.5% BSA and 0.025% sodium azide
UniProt Q12931
Localization Cytoplasmic
Applications Western Blot : 0.1-0.5ug/ml
IHC (FFPE) : 0.5-1ug/ml
Limitations This TRAP1 antibody is available for research use only.
Review this product on BioCompare and get a $20 Amazon gift card

Related Products

  • Applications : WB, IHC, ELISA
    Reactivity : Human
  • Applications : WB, FACS, Direct ELISA
    Reactivity : Human, Mouse, Rat

Description

Heat shock protein 75 kDa, mitochondrial is a protein that in humans is encoded by the TRAP1 gene. It is mapped to 16p13.3. This gene encodes a mitochondrial chaperone protein that is member of the heat shock protein 90 (HSP90) family. The encoded protein has ATPase activity and interacts with tumor necrosis factor type I. And this protein may function in regulating cellular stress responses. In addition, it was found that TRAP1 interacted with the N-terminal half of TNFR1. Also, TRAP1 interacted with the C-terminal ends of the proteins encoded by both multiple exostoses-causing genes, EXT1 and EXT2, but not with EXTL1 or EXTL3.

Application Notes

Optimal dilution of the TRAP1 antibody should be determined by the researcher.

Immunogen

Amino acids 571-704 of human TRAP1 were used as the immunogen for the TRAP1 antibody.

Storage

After reconstitution, the TRAP1 antibody can be stored for up to one month at 4oC. For long-term, aliquot and store at -20oC. Avoid repeated freezing and thawing.

Cross
Bulk Quote Request Form
Name*:
Organization*:
Email*:
Phone Number*:
Catalog No.*:
Comments and Specifics(amount, formulation, etc.)*:
Validation code: Captchapackage Image


Can't read the image? click here to refresh.
    *required field

Your bulk quote request has been submitted successfully!

Please contact us if you have any questions.