• Tel: 858.663.9055
  • SeparatorEmail: info@nsjbio.com
  • Tel: 858.663.9055
  • Email: info@nsjbio.com
Home >> Antibodies >> Transthyretin Antibody / TTR / Prealbumin

Transthyretin Antibody / TTR / Prealbumin (R36383)

  Catalog No Formulation Size Price (USD)  
Image R36383-100UG 0.5 mg/ml in 1X TBS, pH7.3, with 0.5% BSA (US sourced) and 0.02% sodium azide 100 ug 449
Bulk quote request
Sandwich ELISA with Transthyretin antibody at 5ug/ml as the detect
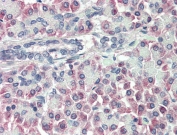
IHC testing of FFPE human pancreas tissue with Transthyretin antibody at 10ug/ml. Steamed antigen retrieval with citrate buffer pH 6, AP-staining.
Availability 1-3 business days
Species Reactivity Human
Predicted Reactivity Mouse, Rat, Dog
Format Antigen affinity purified
Clonality Polyclonal (goat origin)
Isotype Goat Ig
Purity Antigen affinity
Gene ID 7276
Localization Cytoplasmic, membrane
Applications IHC (FFPE) : 10ug/ml
Enzyme ImmunoAssay : binds recombinant protein (use at 5-10ug/ml)
ELISA (peptide) LOD : 1:1000
Limitations This Transthyretin antibody is available for research use only.
Review this product on BioCompare and get a $20 Amazon gift card

Related Products

Description

Additional name(s) for this target protein: TTR; prealbumin

Application Notes

Optimal dilution of the Transthyretin antibody should be determined by the researcher.

Immunogen

Amino acids YKVEIDTKSYWK were used as the immunogen for this Transthyretin antibody.

Storage

Aliquot and store the Transthyretin antibody at -20oC.

Cross
Bulk Quote Request Form
Name*:
Organization*:
Email*:
Phone Number*:
Catalog No.*:
Comments and Specifics(amount, formulation, etc.)*:
Validation code: Captchapackage Image


Can't read the image? click here to refresh.
    *required field

Your bulk quote request has been submitted successfully!

Please contact us if you have any questions.