• Tel: 858.663.9055
  • SeparatorEmail: info@nsjbio.com
  • Tel: 858.663.9055
  • Email: info@nsjbio.com
Home >> Antibodies >> Transthyretin Antibody / TTR / Prealbumin

Transthyretin Antibody / TTR / Prealbumin (R31870)

  Catalog No Formulation Size Price (USD)  
Image R31870 0.5mg/ml if reconstituted with 0.2ml sterile DI water 100 ug 439
Bulk quote request
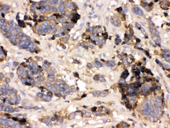
IHC testing of FFPE human lung cancer tissue with Transthyretin antibody. HIER: Boil the paraffin sections in pH 8 EDTA buffer for 20 minutes and allow to cool prior to staining.
Western blot testing of human 1) placenta and 20 HCCP cell lysate with Transthyretin antibody. Expected molecular weight ~16 kDa.
Availability 1-3 business days
Species Reactivity Human
Format Antigen affinity purified
Clonality Polyclonal (rabbit origin)
Isotype Rabbit IgG
Purity Antigen affinity
Buffer Lyophilized from 1X PBS with 2.5% BSA and 0.025% sodium azide
UniProt P02766
Localization Cytoplasmic, membrane
Applications Western Blot : 0.5-1ug/ml
Immunohistochemistry (FFPE) : 1-2ug/ml
Limitations This Transthyretin antibody is available for research use only.
Review this product on BioCompare and get a $20 Amazon gift card

Related Products

Description

Transthyretin (TTR) is also known as prealbumin. It is mapped to chromosome region 18q11.2-q12.1. This gene encodes a carrier protein responsible for the transport of thyroid hormones and retinol. The protein consists of a tetramer of identical subunits. Due to increased stability of the tetramer form of this encoded protein in mouse, compared to the human protein, this gene product has a reduced tendency to form amyloid fibrils. In humans, this protein binds beta-amyloid preventing its aggregation and providing a neuroprotective role in Alzheimer's disease.

Application Notes

Optimal dilution of the Transthyretin antibody should be determined by the researcher.

Immunogen

Amino acids 21-147 of human TTR were used as the immunogen for the Transthyretin antibody.

Storage

After reconstitution, the Transthyretin antibody can be stored for up to one month at 4oC. For long-term, aliquot and store at -20oC. Avoid repeated freezing and thawing.

Cross
Bulk Quote Request Form
Name*:
Organization*:
Email*:
Phone Number*:
Catalog No.*:
Comments and Specifics(amount, formulation, etc.)*:
Validation code: Captchapackage Image


Can't read the image? click here to refresh.
    *required field

Your bulk quote request has been submitted successfully!

Please contact us if you have any questions.