• Tel: 858.663.9055
  • SeparatorEmail: info@nsjbio.com
  • Tel: 858.663.9055
  • Email: info@nsjbio.com
Home >> Antibodies >> Transthyretin Antibody / TTR / Prealbumin

Transthyretin Antibody / TTR / Prealbumin (F54873)

  Catalog No Formulation Size Price (USD)  
Image F54873-0.4ML In 1X PBS, pH 7.4, with 0.09% sodium azide 0.4 ml 429
Image
F54873-0.08ML In 1X PBS, pH 7.4, with 0.09% sodium azide 0.08 ml 199
Bulk quote request
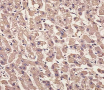
IHC testing of FFPE human liver tissue with Transthyretin antibody. HIER: steam section in pH6 citrate buffer for 20 min and allow to cool prior to staining.
Western blot testing of human 1) placenta and 2) plasma lysate with Transthyretin antibody. Predicted molecular weight ~16 kDa.
Immunofluorescent staining of human pancreas and kidney tissue with Transthyretin antibody (green) and DAPI nuclear stain (blue).
Flow cytometry testing of fixed and permeabilized human HepG2 cells with Transthyretin antibody; Blue=isotype control, Green= Transthyretin antibody.
Availability 1-3 business days
Species Reactivity Human
Format Purified
Clonality Polyclonal (rabbit origin)
Isotype Rabbit Ig
Purity Antigen affinity purified
UniProt P02766
Localization Cytoplasmic
Applications Immunofluorescence : 1:25
Western Blot : 1:1000-1:2000
Immunohistochemistry (FFPE) : 1:25
Flow Cytometry : 1:25 (1x10e6 cells)
Limitations This Transthyretin antibody is available for research use only.
Review this product on BioCompare and get a $20 Amazon gift card

Related Products

Description

Transthyretin, one of the three prealbumins including alpha-1-antitrypsin, transthyretin and orosomucoid. Transthyretin is a carrier protein; it transports thyroid hormones in the plasma and cerebrospinal fluid, and also transports retinol (vitamin A) in the plasma. The protein consists of a tetramer of identical subunits. More than 80 different mutations in this gene have been reported; most mutations are related to amyloid deposition, affecting predominantly peripheral nerve and/or the heart, and a small portion of the gene mutations is non-amyloidogenic. The diseases caused by mutations include amyloidotic polyneuropathy, euthyroid hyperthyroxinaemia, amyloidotic vitreous opacities, cardiomyopathy, oculoleptomeningeal amyloidosis, meningocerebrovascular amyloidosis, carpal tunnel syndrome, etc.

Application Notes

The stated application concentrations are suggested starting points. Titration of the Transthyretin antibody may be required due to differences in protocols and secondary/substrate sensitivity.

Immunogen

A portion of amino acids 71-98 from the human protein was used as the immunogen for the Transthyretin antibody.

Storage

Aliquot the Transthyretin antibody and store frozen at -20oC or colder. Avoid repeated freeze-thaw cycles.

Cross
Bulk Quote Request Form
Name*:
Organization*:
Email*:
Phone Number*:
Catalog No.*:
Comments and Specifics(amount, formulation, etc.)*:
Validation code: Captchapackage Image


Can't read the image? click here to refresh.
    *required field

Your bulk quote request has been submitted successfully!

Please contact us if you have any questions.