• Tel: 858.663.9055
  • SeparatorEmail: info@nsjbio.com
  • Tel: 858.663.9055
  • Email: info@nsjbio.com
Home >> Antibodies >> Transgelin Antibody

Transgelin Antibody [clone SPM606] (V2878)

  Catalog No Formulation Size Price (USD)  
Image V2878-100UG 0.2 mg/ml in 1X PBS with 0.1 mg/ml BSA (US sourced) and 0.05% sodium azide 100 ug 539
Image
V2878-20UG 0.2 mg/ml in 1X PBS with 0.1 mg/ml BSA (US sourced) and 0.05% sodium azide 20 ug 249
Image
V2878SAF-100UG 1 mg/ml in 1X PBS; BSA free, sodium azide free 100 ug 539
Image
V2878IHC-7ML Prediluted in 1X PBS with 0.1 mg/ml BSA (US sourced) and 0.05% sodium azide; *For IHC use only* 7 ml 539
Bulk quote request
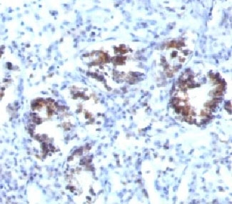
IHC: Formalin-fixed, paraffin-embedded human colon carcinoma stained with Transgelin antibody (SPM606).
Availability 1-3 business days
Species Reactivity Human
Format Purified
Clonality Monoclonal (mouse origin)
Isotype Mouse IgG1, kappa
Clone Name SPM606
Purity Protein G affinity chromatography
UniProt Q01995
Localization Cytoplasmic
Applications Immunohistochemistry (FFPE) : 1-2ug/ml for 30 min at RT
Limitations This Transgelin antibody is available for research use only.
Review this product on BioCompare and get a $20 Amazon gift card

Related Products

Description

This mAb recognizes a 22kDa protein, identified as Transgelin, also designated SM22-alpha. It may cross-react with SM22-beta. Transgelin is expressed abundantly in smooth muscle cells. The human transgelin gene encodes a 201 amino acid protein that contains nuclear factor-binding motifs known to regulate transcription in smooth muscle. During embryogenesis, transgelin is expressed in smooth, cardiac and skeletal muscle, but is restricted during late fetal development and adulthood to all vascular and visceral smooth muscle cells and low levels of expression in heart. Transgelin is down regulated in several transformed cell lines, indicating that a reduction of transgelin expression may be an early indicator of the onset of transformation. Transgelin also binds Actin, causing Actin fibers to gel within minutes of binding. Binding of transgelin to Actin occurs at a ratio of 1:6 Actin monomers.

Application Notes

Optimal dilution of the Transgelin antibody should be determined by the researcher.

1. Staining of formalin-fixed tissues requires boiling tissue sections in 10mM Tris with 1mM EDTA, pH 9, for 10-20 min followed by cooling at RT for 20 min.
2. The prediluted format is supplied in a dropper bottle and is optimized for use in IHC. After epitope retrieval step (if required), drip mAb solution onto the tissue section and incubate at RT for 30 min.

Immunogen

Recombinant full-length human protein was used as the immunogen for the Transgelin antibody.

Storage

Store the Transgelin antibody at 2-8oC (with azide) or aliquot and store at -20oC or colder (without azide).

Cross
Bulk Quote Request Form
Name*:
Organization*:
Email*:
Phone Number*:
Catalog No.*:
Comments and Specifics(amount, formulation, etc.)*:
Validation code: Captchapackage Image


Can't read the image? click here to refresh.
    *required field

Your bulk quote request has been submitted successfully!

Please contact us if you have any questions.