• Tel: 858.663.9055
  • SeparatorEmail: info@nsjbio.com
  • Tel: 858.663.9055
  • Email: info@nsjbio.com
Home >> Antibodies >> Transferrin Antibody

Transferrin Antibody [clone DOH-20] (RQ5017)

  Catalog No Formulation Size Price (USD)  
Image RQ5017 Antibody in PBS with 0.02% sodium azide, 50% glycerol and 0.4-0.5mg/ml BSA 100 ul 439
Microvalidated Rab Mono Image
Bulk quote request
Western blot testing of human serum lysate with Transferrin antibody. Predicted molecular weight ~77 kDa.
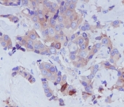
IHC staining of FFPE human breast carcinoma tissue with Transferrin antibody. HIER: boil tissue sections in pH8 EDTA for 20 min and allow to cool before testing.
Availability 1-2 weeks
Species Reactivity Human
Format Purified
Clonality Rabbit Monoclonal
Isotype Rabbit IgG
Clone Name DOH-20
Purity Affinity purified
UniProt P02787
Applications Western Blot : 1:500-1:2000
Immunohistochemistry (FFPE) 1:50-1:200 :
Limitations This Transferrin antibody is available for research use only.
Review this product on BioCompare and get a $20 Amazon gift card

Related Products

Description

Transferrins are iron binding transport proteins which can bind two Fe3+ ions in association with the binding of an anion, usually bicarbonate. It is responsible for the transport of iron from sites of absorption and heme degradation to those of storage and utilization. Serum transferrin may also have a further role in stimulating cell proliferation. [UniProt]

Application Notes

Optimal dilution of the Transferrin antibody should be determined by the researcher.

Immunogen

A synthetic peptide specific to human Transferrin / TF was used as the immunogen for the Transferrin antibody.

Storage

Store the Transferrin antibody at -20oC.

Cross
Bulk Quote Request Form
Name*:
Organization*:
Email*:
Phone Number*:
Catalog No.*:
Comments and Specifics(amount, formulation, etc.)*:
Validation code: Captchapackage Image


Can't read the image? click here to refresh.
    *required field

Your bulk quote request has been submitted successfully!

Please contact us if you have any questions.