• Tel: 858.663.9055
  • SeparatorEmail: info@nsjbio.com
  • Tel: 858.663.9055
  • Email: info@nsjbio.com
Home >> Antibodies >> TRAM Antibody / TRAM1

TRAM Antibody / TRAM1 (R31117)

  Catalog No Formulation Size Price (USD)  
Image R31117 0.5mg/ml if reconstituted with 0.2ml sterile DI water 100 ug 439
Bulk quote request
Western blot testing of TRAM antbody; Lane 1: rat brain; 2: (r) kidney; 3: human 293T; 4: (h) Raji; 5: (h) Jurkat cell lysate. Predicted molecular weight ~43 kDa but may be observed at higher molecular weights due to glycosylation.
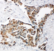
IHC-P: TRAM antibody testing of human lung cancer tissue. HIER: steamed with pH6 citrate buffer.
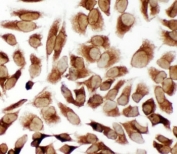
ICC testing of TRAM antibody and HeLa cells.
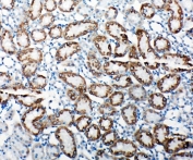
IHC-P: TRAM antibody testing of rat kidney tissue. HIER: steamed with pH6 citrate buffer.
Availability 1-3 business days
Species Reactivity Human, Mouse, Rat
Format Antigen affinity purified
Clonality Polyclonal (rabbit origin)
Isotype Rabbit IgG
Purity Antigen affinity
Buffer Lyophilized from 1X PBS with 2.5% BSA and 0.025% sodium azide/thimerosal
UniProt Q15629
Applications Western Blot : 0.5-1ug/ml
IHC (FFPE) : 0.5-1ug/ml
IHC (Frozen) : 0.5-1ug/ml
Immunocytochemistry : 0.5-1ug/ml
Limitations This TRAM antibody is available for research use only.
Review this product on BioCompare and get a $20 Amazon gift card

Related Products

Description

By crosslinking and reconstitution of canine proteoliposomes, followed by microsequencing and PCR screening of canine kidney and HeLa cell cDNA libraries, Gorlich et al.(1992) isolated cDNAs encoding TRAM (translocating chain-associating membrane protein). The International Radiation Hybrid Mapping Consortium mapped the gene to chromosome 8. Sequence analysis predicted that human TRAM is a 374-amino acid, 8-pass transmembrane protein that shares 95% amino acid identity with the canine protein. Functional analysis indicated that the protein influences glycosylation and is stimulatory or required for the translocation of secretory proteins.

Application Notes

The stated application concentrations are suggested starting amounts. Titration of the TRAM antibody may be required due to differences in protocols and secondary/substrate sensitivity.

Immunogen

An amino acid sequence from the C-terminus of human Translocating chain-associating membrane protein 1 (KFINFQLRRWREHSAFQA) was used as the immunogen for this TRAM antibody (100% homologous in human, mouse and rat).

Storage

After reconstitution, the TRAM antibody can be stored for up to one month at 4oC. For long-term, aliquot and store at -20oC. Avoid repeated freezing and thawing.

Cross
Bulk Quote Request Form
Name*:
Organization*:
Email*:
Phone Number*:
Catalog No.*:
Comments and Specifics(amount, formulation, etc.)*:
Validation code: Captchapackage Image


Can't read the image? click here to refresh.
    *required field

Your bulk quote request has been submitted successfully!

Please contact us if you have any questions.