• Tel: 858.663.9055
  • SeparatorEmail: info@nsjbio.com
  • Tel: 858.663.9055
  • Email: info@nsjbio.com
Home >> Antibodies >> TRAIL-R4 Antibody / TNFRSF10D / TRUNDD

TRAIL-R4 Antibody / TNFRSF10D / TRUNDD [clone 23T76] (RQ8946)

  Catalog No Formulation Size Price (USD)  
Image RQ8946 Antibody in PBS with 0.02% sodium azide, 50% glycerol and 0.4-0.5mg/ml BSA 100 ul 439
Microvalidated Recrabbitmono
Bulk quote request
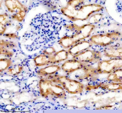
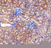
IHC staining of FFPE human kidney tissue with TRAIL-R4 antibody, HRP-secondary and DAB substrate. HIER: boil tissue sections in pH8 EDTA for 20 min and allow to cool before testing.
IHC staining of FFPE human kidney tissue with TRAIL-R4 antibody, HRP-secondary and DAB substrate. HIER: boil tissue sections in pH8 EDTA for 20 min and allow to cool before testing.
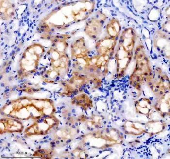
IHC staining of FFPE mouse kidney tissue with TRAIL-R4 antibody, HRP-secondary and DAB substrate. HIER: boil tissue sections in pH8 EDTA for 20 min and allow to cool before testing.
Western blot testing of human prostate tissue lysate with TRAIL-R4 antibody. Predicted molecular weight ~42 kDa.
Availability 1-2 weeks
Species Reactivity Human, Mouse
Format Purified
Clonality Recombinant Rabbit Monoclonal
Isotype Rabbit IgG
Clone Name 23T76
Purity Affinity purified
UniProt Q9UBN6
Applications Western Blot : 1:500
Immunohistochemistry (FFPE) : 1:50
Limitations This TRAIL-R4 antibody is available for research use only.
Review this product on BioCompare and get a $20 Amazon gift card

Description

TRAIL R4 antibody is a useful reagent for investigating apoptosis, immune regulation, and cancer biology. The encoded protein, TNFRSF10D (also known as TRUNDD or TRAIL receptor 4), is a member of the tumor necrosis factor receptor superfamily. Unlike TRAIL receptors that signal apoptosis, TRAIL R4 lacks a functional death domain and instead acts as a decoy receptor for TRAIL (TNF related apoptosis inducing ligand). By binding TRAIL without transmitting apoptotic signals, TNFRSF10D protects cells from TRAIL mediated cell death and modulates sensitivity to immune surveillance.

TRAIL R4 is expressed in a variety of tissues and cell types, including immune cells and epithelial cells. Its expression pattern suggests a role in maintaining tissue homeostasis by preventing inappropriate activation of apoptosis. In addition, TRAIL R4 has been shown to activate pro survival pathways such as NF kappa B and PI3K Akt signaling, further supporting its function as a regulator of cell fate. These properties distinguish it from TRAIL receptors DR4 and DR5, which contain functional death domains and induce apoptosis.

Research has linked TNFRSF10D to tumor biology. Overexpression of TRAIL R4 in cancer cells provides resistance to TRAIL mediated killing, allowing malignant cells to evade immune destruction. This mechanism contributes to tumor progression and therapeutic resistance in cancers such as colon, breast, and lung carcinoma. Because of this protective effect, TRAIL R4 is studied as both a biomarker and a potential target for overcoming resistance in TRAIL based therapies. Its role in modulating survival pathways also makes it relevant in studies of inflammation and immune regulation.

At the molecular level, TRAIL R4 contains extracellular cysteine rich domains typical of TNF receptors but a truncated intracellular domain that lacks apoptotic signaling capacity. This structure enables it to compete with death inducing TRAIL receptors for ligand binding, thereby controlling the balance between apoptosis and survival. Functional studies indicate that TRAIL R4 can redirect TRAIL signaling toward non apoptotic outcomes, influencing proliferation and inflammatory responses.

The TRAIL R4 antibody is widely used in western blotting, immunohistochemistry, immunofluorescence, and flow cytometry to measure protein expression and localization. These applications are critical for cancer research, apoptosis studies, and immune regulation. For scientists exploring tumor immune evasion, cytokine receptor signaling, or therapeutic interventions, the TRAIL R4 antibody provides a reliable detection tool. NSJ Bioreagents supplies validated antibodies that ensure reproducibility and accuracy in advanced molecular studies.

Application Notes

Optimal dilution of the TRAIL-R4 antibody should be determined by the researcher.

Immunogen

A synthetic peptide specific to TNFRSF10D protein was used as the immunogen for the TRAIL-R4 antibody.

Storage

Store the TRAIL-R4 antibody at -20oC.

Cross
Bulk Quote Request Form
Name*:
Organization*:
Email*:
Phone Number*:
Catalog No.*:
Comments and Specifics(amount, formulation, etc.)*:
Validation code: Captchapackage Image


Can't read the image? click here to refresh.
    *required field

Your bulk quote request has been submitted successfully!

Please contact us if you have any questions.