• Tel: 858.663.9055
  • SeparatorEmail: info@nsjbio.com
  • Tel: 858.663.9055
  • Email: info@nsjbio.com
Home >> Antibodies >> TRAcP Antibody / TRAP / ACP5

TRAcP Antibody / TRAP / ACP5 [clone HACP5-1] (V7136)

  Catalog No Formulation Size Price (USD)  
Image V7136-100UG 0.2 mg/ml in 1X PBS with 0.1 mg/ml BSA (US sourced) and 0.05% sodium azide 100 ug 539
Image
V7136-20UG 0.2 mg/ml in 1X PBS with 0.1 mg/ml BSA (US sourced) and 0.05% sodium azide 20 ug 249
Image
V7136SAF-100UG 1 mg/ml in 1X PBS; BSA free, sodium azide free 100 ug 539
Bulk quote request
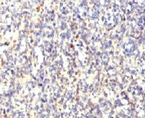
IHC testing of FFPE human spleen with TRAcP antibody (clone HACP5-1). FFPE testing requires sections to be boiled in pH6 10mM citrate buffer for 10-20 minutes, followed by cooling at RT for 20 minutes, prior to staining.
Availability 1-3 business days
Species Reactivity Human
Format Purified
Clonality Monoclonal (mouse origin)
Isotype Mouse IgG2b, kappa
Clone Name HACP5-1
Purity Protein G affinity chromatography
UniProt P13686
Localization Cytoplasmic (lysosomes)
Applications Immunohistochemistry (FFPE) : 1-2ug/ml for 30 min at RT
Limitations This TRAcP antibody is available for research use only.
Review this product on BioCompare and get a $20 Amazon gift card

Related Products

Description

Tartrate-Resistant Acid Phosphatase is involved in osteopontin/bone sialoprotein dephosphorylation. Its expression seems to increase in certain pathological states such as Gaucher and Hodgkin diseases, the hairy cell, the B-cell, and the T-cell leukemias. [UniProt]

Application Notes

Titering of the TRAcP antibody may be required for optimal performance.

Immunogen

Recombinant full-length human protein was used as the immunogen for the TRAcP antibody.

Storage

Store the TRAcP antibody at 2-8oC (with azide) or aliquot and store at -20oC or colder (without azide).

Cross
Bulk Quote Request Form
Name*:
Organization*:
Email*:
Phone Number*:
Catalog No.*:
Comments and Specifics(amount, formulation, etc.)*:
Validation code: Captchapackage Image


Can't read the image? click here to refresh.
    *required field

Your bulk quote request has been submitted successfully!

Please contact us if you have any questions.