• Tel: 858.663.9055
  • SeparatorEmail: info@nsjbio.com
  • Tel: 858.663.9055
  • Email: info@nsjbio.com
Home >> Antibodies >> TR4 Antibody / Testicular receptor 4 / NR2C2

TR4 Antibody / Testicular receptor 4 / NR2C2 (RQ8296)

  Catalog No Formulation Size Price (USD)  
Image RQ8296 0.5mg/ml if reconstituted with 0.2ml sterile DI water 100 ug 439
Bulk quote request
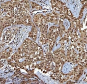
IHC staining of FFPE human colorectal adenocarcinoma tissue with TR4 antibody. HIER: boil tissue sections in pH8 EDTA for 20 min and allow to cool before testing.
IHC staining of FFPE human acinic cell carcinoma of the parotid gland tissue with TR4 antibody. HIER: boil tissue sections in pH8 EDTA for 20 min and allow to cool before testing.
Western blot testing of 1) human HeLa, 2) human Jurkat, 3) human PC-3, 4) human 293T, 5) monkey COS-7, 6) human HEL, 7) human U-2 OS, 8) human SH-SY5Y, 9) rat C6, 10) mouse thymus and 11) mouse NIH 3T3 cell lysate with TR4 antibody. Test shows the expected full-length ~65-67 kDa band along with additional lower bands at ~50-55 kDa, consistent with N-terminally truncated TR4 isoforms generated by alternative initiation or limited proteolysis.
Flow cytometry testing of fixed and permeabilized human 293T cells with TR4 antibody at 1ug/million cells (blocked with goat sera); Red=cells alone, Green=isotype control, Blue= TR4 antibody.
Availability 1-3 business days
Species Reactivity Human, Mouse, Rat, Monkey
Format Antigen affinity purified
Clonality Polyclonal (rabbit origin)
Isotype Rabbit IgG
Purity Antigen affinity purified
Buffer Lyophilized from 1X PBS with 2% Trehalose
UniProt P49116
Localization Nuclear
Applications Western Blot : 0.5-1ug/ml
Immunohistochemistry (FFPE) : 2-5ug/ml
Flow Cytometry : 1-3ug/million cells
Direct ELISA : 0.1-0.5ug/ml
Limitations This TR4 antibody is available for research use only.
Review this product on BioCompare and get a $20 Amazon gift card

Related Products

Description

TR4 antibody detects Testicular receptor 4, also known as Nuclear receptor subfamily 2 group C member 2 (NR2C2), a ligand-dependent transcription factor that regulates gene networks involved in metabolism, reproduction, and neuronal differentiation. The UniProt recommended name is Nuclear receptor subfamily 2 group C member 2 (NR2C2). This orphan nuclear receptor belongs to the NR2C subfamily, which includes TR2 (NR2C1), and plays a central role in controlling lipid metabolism, energy balance, and developmental signaling.

Functionally, TR4 antibody identifies a 596-amino-acid nuclear protein containing a conserved DNA-binding domain (DBD) with two zinc fingers and a ligand-binding domain (LBD) that mediates transcriptional activation or repression. TR4 binds to hormone response elements (HREs) within target gene promoters to modulate transcription. Though its physiological ligand remains uncertain, evidence suggests interaction with fatty acids and retinoid derivatives, consistent with its role in metabolic regulation.

The NR2C2 gene is located on chromosome 3p25.2 and is expressed in diverse tissues including testis, brain, liver, and skeletal muscle. TR4 participates in nuclear receptor signaling cascades governing glucose homeostasis, lipid metabolism, and reproductive function. In the central nervous system, TR4 regulates neuronal differentiation and circadian rhythm by modulating gene expression downstream of retinoic acid and steroid hormone pathways. In reproductive tissues, it contributes to spermatogenesis and androgen signaling.

In metabolic tissues, TR4 regulates genes involved in fatty acid oxidation, gluconeogenesis, and mitochondrial function. It interacts with peroxisome proliferator-activated receptors (PPARs) and retinoid X receptors (RXRs), forming heterodimers that fine-tune metabolic gene expression. TR4 knockout models display insulin resistance, dyslipidemia, and reproductive defects, underscoring its importance in endocrine and metabolic homeostasis.

Clinically, altered TR4 expression has been linked to prostate cancer progression, neurodegenerative disorders, and metabolic syndromes. In cancer biology, TR4 acts in a tissue-specific manner, functioning as either a tumor suppressor or oncogenic factor depending on cellular context. In prostate tissue, TR4 modulates androgen receptor (AR) signaling and epithelial proliferation. In the nervous system, it contributes to neurodevelopmental processes and synaptic plasticity.

TR4 antibody is widely used in endocrinology, molecular biology, and neurogenesis research. It is suitable for western blotting, immunohistochemistry, and chromatin immunoprecipitation to detect TR4 expression and transcriptional activity. This antibody supports studies of nuclear receptor signaling, lipid metabolism, and developmental gene regulation. In translational research, TR4 serves as a biomarker for metabolic and reproductive pathway modulation.

Structurally, TR4 contains a modular organization typical of nuclear receptors, with N-terminal activation function-1 (AF-1), central DBD, hinge region, and C-terminal ligand-binding domain harboring activation function-2 (AF-2). TR4 interacts with coactivators such as SRC-1 and CBP/p300 to promote gene transcription, while recruitment of corepressors including NCOR1 and SMRT enables transcriptional repression. NSJ Bioreagents provides TR4 antibody reagents validated for use in nuclear receptor signaling, metabolic regulation, and transcriptional research.

Application Notes

Optimal dilution of the TR4 antibody should be determined by the researcher.

Immunogen

An E.coli-derived human recombinant protein (R7-L596) was used as the immunogen for the TR4 antibody.

Storage

After reconstitution, the TR4 antibody can be stored for up to one month at 4oC. For long-term, aliquot and store at -20oC. Avoid repeated freezing and thawing.

Cross
Bulk Quote Request Form
Name*:
Organization*:
Email*:
Phone Number*:
Catalog No.*:
Comments and Specifics(amount, formulation, etc.)*:
Validation code: Captchapackage Image


Can't read the image? click here to refresh.
    *required field

Your bulk quote request has been submitted successfully!

Please contact us if you have any questions.