• Tel: 858.663.9055
  • SeparatorEmail: info@nsjbio.com
  • Tel: 858.663.9055
  • Email: info@nsjbio.com
Home >> Antibodies >> TPPP Antibody

TPPP Antibody (R33583)

  Catalog No Formulation Size Price (USD)  
Image R33583-100UG 0.5 mg/ml in 1X TBS, pH7.3, with 0.5% BSA (US sourced) and 0.02% sodium azide 100 ug 449
Bulk quote request
Western blot testing of human cerebellum lysate with TPPP antibody at 0.001ug/ml. Predicted molecular weight: ~24 kDa.
Western blot of mouse (A) and rat (B) brain lysate with TPPP antibody at 0.001ug/ml. Predicted molecular weight: ~24 kDa.
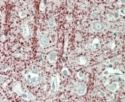
IHC staining of FFPE human cerebral cortex with TPPP antibody at 4ug/ml. HIER: steamed with pH6 citrate buffer, AP-staining.
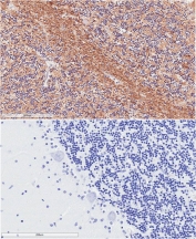
IHC staining of FFPE human cerebellum with (top) and without (bottom) TPPP antibody at 2ug/ml. HIER: steamed with pH6 citrate buffer, HRP-staining.
Availability 1-3 business days
Species Reactivity Human, Mouse, Rat
Predicted Reactivity Pig
Format Antigen affinity purified
Clonality Polyclonal (goat origin)
Isotype Goat Ig
Purity Antigen affinity
Gene ID 11076
Localization Cytoplasmic, nuclear
Applications Western Blot : 0.1-0.3ug/ml
Immunohistochemistry (FFPE) : 2-5ug/ml
ELISA (peptide) LOD : 1:32000
Limitations This TPPP antibody is available for research use only.
Review this product on BioCompare and get a $20 Amazon gift card

Related Products

Description

Additional name(s) for this target protein: Tubulin polymerization promoting protein

Application Notes

Optimal dilution of the TPPP antibody should be determined by the researcher.

Immunogen

Amino acids DPSKDRAAKRLSLES were used as the immunogen for this TPPP antibody.

Storage

Aliquot and store the TPPP antibody at -20oC.

Cross
Bulk Quote Request Form
Name*:
Organization*:
Email*:
Phone Number*:
Catalog No.*:
Comments and Specifics(amount, formulation, etc.)*:
Validation code: Captchapackage Image


Can't read the image? click here to refresh.
    *required field

Your bulk quote request has been submitted successfully!

Please contact us if you have any questions.