• Tel: 858.663.9055
  • SeparatorEmail: info@nsjbio.com
  • Tel: 858.663.9055
  • Email: info@nsjbio.com
Home >> Antibodies >> TPI1 Antibody / Triosephosphate isomerase

TPI1 Antibody / Triosephosphate isomerase (F54404)

  Catalog No Formulation Size Price (USD)  
Image F54404-0.4ML In 1X PBS, pH 7.4, with 0.09% sodium azide 0.4 ml 429
Image
F54404-0.08ML In 1X PBS, pH 7.4, with 0.09% sodium azide 0.08 ml 199
Bulk quote request
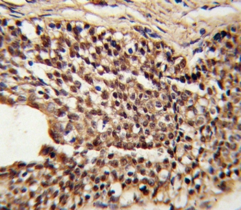
IHC testing of FFPE human prostate carcinoma tissue with TPI1 antibody. HIER: steam section in pH6 citrate buffer for 20 min and allow to cool prior to staining.
Western blot testing of human 1) A431 and 2) HepG2 cell lysate with TPI1 antibody. Predicted molecular weight: ~26 kDa.
Western blot testing of human 1) Y79, 2) CCRF-CEM and 3) mouse brain lysate with TPI1 antibody. Predicted molecular weight: ~26 kDa.
Western blot testing of 1) non-transfected and 2) transfected HEK293 cell lysate with TPI1 antibody.
Flow cytometry testing of human CCRF-CEM cells with TPI1 antibody; Blue=isotype control, Green= TPI1 antibody.
Availability 1-3 business days
Species Reactivity Human, Mouse
Format Purified
Clonality Polyclonal (rabbit origin)
Isotype Rabbit Ig
Purity SAS precipitation
UniProt P60174
Localization Nuclear, cytoplasmic
Applications Flow Cytometry : 1:25 (1x10e6 cells)
Immunohistochemistry (FFPE) : 1:25
Western Blot : 1:500-1:2000
Limitations This TPI1 antibody is available for research use only.
Review this product on BioCompare and get a $20 Amazon gift card

Related Products

Description

TPI1 is an enzyme, consisting of two identical proteins, which catalyzes the isomerization of glyceraldehydes 3-phosphate (G3P) and dihydroxy-acetone phosphate (DHAP) in glycolysis and gluconeogenesis.

Application Notes

The stated application concentrations are suggested starting points. Titration of the TPI1 antibody may be required due to differences in protocols and secondary/substrate sensitivity.

Immunogen

A portion of amino acids 68-96 from the human protein was used as the immunogen for the TPI1 antibody.

Storage

Aliquot the TPI1 antibody and store frozen at -20oC or colder. Avoid repeated freeze-thaw cycles.

Cross
Bulk Quote Request Form
Name*:
Organization*:
Email*:
Phone Number*:
Catalog No.*:
Comments and Specifics(amount, formulation, etc.)*:
Validation code: Captchapackage Image


Can't read the image? click here to refresh.
    *required field

Your bulk quote request has been submitted successfully!

Please contact us if you have any questions.